Trám Răng Là Gì?

Trám răng là một kỹ thuật nha khoa phổ biến, giúp phục hồi răng bị tổn thương bằng các vật liệu nha khoa nhân tạo chuyên dụng. Bác sĩ sẽ đưa vật liệu trám vào những vị trí răng sâu, mẻ, nứt, mòn hoặc đổi màu, giúp răng khôi phục hình dáng, chức năng ăn nhai và thẩm mỹ như răng thật.

Ngoài chức năng điều trị, trám răng còn giúp bảo vệ răng thật, ngăn ngừa bệnh lý răng miệng và nâng cao chất lượng cuộc sống cho khách hàng. Tại YEN Dental, trám răng được thực hiện bởi đội ngũ bác sĩ chuyên môn cao với vật liệu an toàn, mang lại kết quả thẩm mỹ và bền lâu.

1. Mục đích của trám răng

Điều trị và phòng ngừa các bệnh lý răng miệng

Trám răng giúp lấp đầy lỗ sâu và kẽ hở, ngăn vi khuẩn xâm nhập, bảo vệ răng khỏi các tác nhân gây hại như:

  • Vi khuẩn trong khoang miệng
  • Axit và đường từ thực phẩm
  • Nhiệt độ nóng – lạnh
  • Lực tác động khi ăn nhai

Nhờ đó, trám răng giúp ngăn ngừa sâu răng tái phát, viêm tủy, nứt vỡ răng và các biến chứng khác.

Cải thiện màu sắc răng

Đối với răng xỉn màu, ố vàng hoặc nhiễm màu, trám răng giúp che phủ khuyết điểm, lựa chọn màu vật liệu tương đồng răng thật, tạo nên nụ cười tự nhiên, đều màu. Phương pháp này đặc biệt phù hợp với răng cửa và các vùng dễ nhìn thấy, giúp tăng tính thẩm mỹ và sự tự tin.

Phục hồi hình thể và chức năng răng

Trám răng tái tạo hình dáng răng mẻ, sứt, vỡ hoặc mòn men, mang lại:

  • Khả năng ăn nhai ổn định
  • Phân bố lực nhai đồng đều
  • Hạn chế ê buốt và đau nhức

Đồng thời, việc phục hồi hình thể giúp duy trì khớp cắn chuẩn, bảo vệ răng kế cận và cấu trúc hàm.

Nâng cao tính thẩm mỹ và bảo tồn răng thật

So với nhiều phương pháp phục hình khác, trám răng tại YEN Dental bảo tồn tối đa mô răng thật, ít xâm lấn và thời gian thực hiện nhanh chóng. Sau trám, răng vẫn giữ cấu trúc tự nhiên nhưng đẹp hơn, chắc khỏe hơn và bền lâu.

2. Khi nào nên trám răng?

Trám răng thường được chỉ định trong các trường hợp:

  • Răng sâu nhẹ đến trung bình
  • Răng mẻ, vỡ nhỏ
  • Răng mòn cổ răng
  • Răng thưa nhẹ
  • Răng đổi màu hoặc có khuyết điểm nhỏ về hình thể

Kết luận

Trám răng là giải pháp nha khoa an toàn, thẩm mỹ và hiệu quả, giúp khôi phục chức năng răng, bảo vệ răng thật và nâng cao sự tự tin trong giao tiếp. Thực hiện trám răng tại YEN Dental đảm bảo quy trình chuẩn, vật liệu chất lượng và bác sĩ giàu kinh nghiệm, mang lại nụ cười tự nhiên, khỏe mạnh và bền lâu.

Trám Răng Có Đau Không? – Giải Đáp Từ YEN Dental

Trám răng là phương pháp phục hồi răng phổ biến, giúp bảo vệ răng thật, khôi phục chức năng ăn nhai và cải thiện thẩm mỹ nụ cười. Nhiều khách hàng lo lắng về cảm giác đau khi trám. Thực tế, với kỹ thuật hiện đại tại YEN Dental, trám răng hầu như không gây đau, đặc biệt trong các trường hợp răng sâu nhẹ, răng mẻ nhỏ hoặc trám răng thẩm mỹ.

1. Trường hợp trám răng hầu như không đau

Khách hàng thường cảm thấy thoải mái hoặc chỉ hơi ê nhẹ trong các trường hợp:

  • Răng sâu nông, chưa ảnh hưởng tới tủy
  • Răng mẻ, sứt nhỏ, mòn men
  • Trám răng thẩm mỹ

Trong những trường hợp này, thường không cần gây tê hoặc chỉ cần gây tê nhẹ để đảm bảo thoải mái tối đa.

2. Trường hợp trám răng có thể hơi ê buốt

Một số tình trạng răng nhạy cảm hoặc sâu gần tủy có thể gây cảm giác ê buốt nhẹ:

  • Răng sâu trung bình, tổn thương gần tủy
  • Men răng yếu hoặc răng nhạy cảm

Bác sĩ tại YEN Dental sẽ gây tê cục bộ, giúp khách hàng hoàn toàn thoải mái trong suốt quá trình trám.

3. Trường hợp đau nhiều nếu không điều trị đúng cách

Nếu răng đã bị tổn thương nặng, tủy viêm nhưng chưa được xử lý, trám răng có thể gây đau nhức kéo dài:

  • Răng sâu nặng, viêm tủy chưa điều trị
  • Trám răng khi tủy đã tổn thương

Trong các trường hợp này, bác sĩ phải điều trị tủy trước khi trám để ngăn ngừa đau nhức và các biến chứng về sau.

4. Cảm giác sau khi trám răng

Sau khi trám, một số khách hàng có thể gặp:

  • Ê buốt nhẹ khi ăn nhai hoặc tiếp xúc với đồ nóng – lạnh trong 1–2 ngày đầu
  • Cảm giác này bình thường và sẽ nhanh chóng hết

Nếu đau kéo dài hoặc đau dữ dội, cần tái khám ngay tại nha khoa uy tín để kiểm tra.

5. Kết luận

Trám răng là phương pháp ít xâm lấn, an toàn và hầu như không đau khi được thực hiện đúng kỹ thuật.

Để trải nghiệm nhẹ nhàng và đạt hiệu quả lâu dài:

  • Lựa chọn nha khoa uy tín như YEN Dental
  • Thăm khám và chẩn đoán kỹ trước khi trám
  • Tuân thủ hướng dẫn chăm sóc sau trám răng

Với quy trình chuẩn và đội ngũ bác sĩ chuyên môn cao, trám răng tại YEN Dental giúp bạn bảo vệ răng thật, duy trì chức năng ăn nhai và nụ cười tự tin.

 

Các Vật Liệu Trám Răng Phổ Biến Hiện Nay

Cùng với sự phát triển của nha khoa hiện đại, các vật liệu trám răng ngày càng được cải tiến về chất lượng, thẩm mỹ và độ an toàn sinh học. Mỗi loại vật liệu có những đặc tính riêng, phù hợp với từng tình trạng răng và nhu cầu điều trị khác nhau. Lựa chọn đúng vật liệu trám tại YEN DENTAL không chỉ phục hồi răng hiệu quả mà còn góp phần bảo tồn răng thật lâu dài.

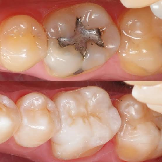
1. Vật liệu trám Amalgam

Amalgam là vật liệu truyền thống, đã được sử dụng rộng rãi trong nhiều thập kỷ. Thành phần bao gồm bạc, thiếc, đồng, kẽm và một lượng nhỏ thủy ngân, tạo nên độ bền cơ học cao.

Ưu điểm:

  • Độ bền chắc, tuổi thọ 10 – 15 năm
  • Chịu lực ăn nhai tốt, đặc biệt phù hợp răng hàm
  • Chi phí hợp lý, dễ tiếp cận

Hạn chế:

  • Màu sắc khác biệt so với răng tự nhiên, thẩm mỹ thấp
  • Ít được ưu tiên trong nha khoa hiện đại do yếu tố thủy ngân

2. Vật liệu trám Composite

Composite là vật liệu thẩm mỹ phổ biến, có khả năng mô phỏng màu sắc và cấu trúc răng tự nhiên.

Ưu điểm:

  • Màu sắc hài hòa với răng thật, đặc biệt phù hợp vùng răng cửa
  • Khả năng ăn nhai ổn định
  • An toàn sinh học, không gây kích ứng

Hạn chế:

  • Tuổi thọ trung bình khoảng 5 năm, thấp hơn Amalgam
  • Không phù hợp với các tổn thương răng quá lớn

3. Trám răng bằng sứ Inlay – Onlay

Sứ Inlay – Onlay là giải pháp phục hình gián tiếp cao cấp, thường dùng cho răng tổn thương lớn, nứt vỡ hoặc mẻ sâu cần độ chính xác cao.

Ưu điểm:

  • Thẩm mỹ vượt trội, màu sắc và độ phản quang tương đồng răng thật
  • Chống bám màu, chống mài mòn cao
  • Tuổi thọ lâu dài, trên 10 năm nếu chăm sóc đúng cách

Hạn chế:

  • Chi phí cao hơn trám trực tiếp
  • Quy trình phức tạp, cần bác sĩ tay nghề cao và trang thiết bị hiện đại

4. Trám răng bằng vàng và kim loại quý

Phương pháp phục hình bền vững, thường dùng cho răng hàm chịu lực lớn.

 

Ưu điểm:

  • Độ bền và chịu lực vượt trội
  • Ít bị biến dạng hoặc mài mòn theo thời gian

 

Hạn chế:

  • Chi phí cao
  • Cần nhiều hơn một lần hẹn để hoàn thiện
  • Thẩm mỹ không phù hợp răng vùng trước

5. Vật liệu trám GIC (Glass Ionomer Cement)

GIC có khả năng giải phóng fluor, thích hợp kiểm soát sâu răng và bảo vệ mô răng.

Ưu điểm:

  • Giải phóng fluor, hạn chế sâu răng tái phát
  • Bám dính tốt với mô răng
  • Tuổi thọ trung bình 8 – 10 năm

Hạn chế:

  • Thẩm mỹ mức trung bình
  • Độ chịu lực thấp hơn Composite và sứ

Đánh giá chung

Việc lựa chọn vật liệu trám răng phù hợp cần dựa trên:

  • Tình trạng răng và vị trí răng cần trám
  • Yêu cầu thẩm mỹ
  • Ngân sách của khách hàng

Để đạt hiệu quả phục hình tối ưu và an toàn lâu dài, bạn nên thăm khám trực tiếp tại YEN DENTAL để bác sĩ chuyên môn tư vấn và chỉ định vật liệu phù hợp nhất.

 

 

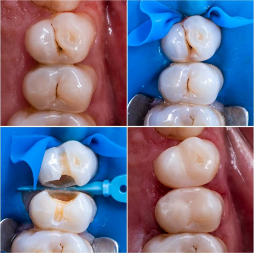
Quy Trình Trám Răng Tại YEN DENTAL

Trám răng là phương pháp phục hình hiệu quả, giúp khôi phục thẩm mỹ và chức năng ăn nhai. Tùy theo mức độ tổn thương của răng, nha sĩ tại YEN DENTAL sẽ áp dụng trám trực tiếp hoặc trám gián tiếp (Inlay – Onlay) với quy trình chuẩn khoa học.

1. Quy trình trám răng trực tiếp

Trám răng trực tiếp là kỹ thuật đơn giản, ít xâm lấn và thường hoàn tất trong một buổi hẹn. Phương pháp này phù hợp với răng sâu nhẹ, răng mẻ nhỏ hoặc răng cần cải thiện thẩm mỹ.

Các bước thực hiện:

  1. Thăm khám tổng quát và tư vấn
    • Kiểm tra tổng quát khoang miệng, chụp X-quang nếu cần để đánh giá chính xác mức độ tổn thương.
    • Tư vấn loại vật liệu trám phù hợp để đảm bảo thẩm mỹ và chức năng ăn nhai tối ưu.
  2. Gây tê và làm sạch răng
    • Gây tê cục bộ để khách hàng cảm thấy thoải mái.
    • Làm sạch mô răng sâu, mảng bám và vi khuẩn, tạo nền răng khô và sạch để vật liệu bám chắc.

 

  1. Tiến hành trám răng
    • Đưa vật liệu trám trực tiếp vào vị trí cần phục hồi.
    • Sử dụng đèn quang trùng hợp để làm cứng vật liệu, đảm bảo độ bền chắc và ổn định.
  2. Chỉnh sửa và kiểm tra khớp cắn
    • Loại bỏ vật liệu dư thừa, điều chỉnh hình dáng miếng trám.
    • Kiểm tra khớp cắn, đánh bóng bề mặt răng để đạt độ mịn và tự nhiên.

2. Quy trình trám răng gián tiếp (Inlay – Onlay)

Trám răng gián tiếp bằng sứ Inlay – Onlay là kỹ thuật hiện đại, mang lại độ chính xác cao và độ bền vượt trội, thường được chỉ định cho răng tổn thương lớn hoặc cần phục hồi thẩm mỹ cao.

Các bước thực hiện:

  1. Thăm khám và chẩn đoán
    • Kiểm tra tổng quát, chụp X-quang để xác định mức độ tổn thương.
    • Tư vấn kế hoạch điều trị chi tiết cho khách hàng.
  2. Gây tê và làm sạch vùng răng cần trám
    • Loại bỏ mảng bám, cao răng và mô răng bị sâu.
    • Gây tê cục bộ để quá trình thực hiện nhẹ nhàng và không đau.
  3. Lấy dấu hàm và chế tác miếng trám
    • Lấy dấu hàm hoặc quét dấu răng kỹ thuật số để chế tác miếng trám sứ Inlay – Onlay.

    • Miếng trám được thiết kế chính xác tại labo nha khoa, hẹn lịch tái khám sau vài ngày.
  1. Gắn cố định miếng trám
    • Gắn miếng trám sứ hoàn thiện bằng xi măng nha khoa chuyên dụng.
    • Kiểm tra độ khít sát, khớp cắn và hoàn thiện bề mặt răng.

Kết luận

Quy trình trám răng tại YEN DENTAL được thực hiện bởi bác sĩ giàu kinh nghiệm, kết hợp vật liệu chất lượng cao và công nghệ hiện đại, đảm bảo thẩm mỹ, chức năng ăn nhai và tuổi thọ miếng trám tối ưu.