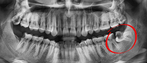
Răng khôn là gì?
Răng khôn, hay còn gọi là răng số 8, là những chiếc răng mọc cuối cùng ở mỗi bên cung hàm, nằm sâu nhất về phía trong. Ở người trưởng thành, mỗi hàm thường có 2 răng khôn, tổng cộng 4 chiếc trong cả hàm trên và hàm dưới.

Đặc điểm của răng khôn
- Thuộc nhóm răng hàm, có mặt nhai rộng và nhiều chân như các răng hàm khác.
- Do nằm sâu bên trong cung hàm nên không đóng vai trò quan trọng trong việc nhai.
- Thường mọc ở độ tuổi 17 – 25, tùy cơ địa mỗi người.
Chức năng
Răng khôn hiếm khi tham gia trực tiếp vào việc nhai thức ăn. Thay vào đó, chúng có thể gây ra các vấn đề răng miệng nếu mọc lệch, mọc ngầm hoặc không đủ chỗ trên cung hàm.
Tại YEN DENTAL, bác sĩ luôn tư vấn và theo dõi sự phát triển của răng khôn, giúp bệnh nhân quyết định thời điểm nhổ răng khôn hợp lý để phòng tránh biến chứng.
Các vị trí mọc bất thường của răng khôn
Răng khôn không phải lúc nào cũng mọc thẳng và đủ chỗ. Một số trường hợp phổ biến gồm:
- Răng khôn mọc lệch
- Hướng mọc lệch ra má hoặc vào trong.
- Nếu không gây sưng đau hay viêm lợi, có thể chưa cần nhổ.
- Nếu kèm triệu chứng như lợi trùm, sưng nướu, đau nhức, bác sĩ tại YEN DENTAL sẽ thăm khám và đưa ra phương án điều trị phù hợp.
- Răng khôn mọc kẹt
- Cung hàm không đủ khoảng trống, chỉ một phần thân răng mọc lên.
- Thường gây sưng, đau, viêm nướu hoặc lợi trùm.

-
- Trong trường hợp này, nhổ răng khôn tại YEN DENTAL là cần thiết để tránh biến chứng.
- Răng khôn mọc ngầm
- Toàn bộ răng nằm trong xương hàm, có thể đâm ngang hoặc chèn vào răng số 7 bên cạnh.

-
- Tại YEN DENTAL, khách hàng sẽ được chụp phim CT Cone Beam 3D để xác định chính xác vị trí và kế hoạch nhổ răng an toàn.
- Không có mầm răng khôn
- Một số người trưởng thành không có mầm răng khôn, do đó răng khôn không mọc.
- Đây là hiện tượng bình thường, không ảnh hưởng đến sức khỏe răng miệng.
Triệu chứng khi răng khôn mọc sai vị trí
- Sưng nướu, đau nhức tại vị trí mọc răng khôn.
- Viêm lợi trùm răng khôn, gây hôi miệng.
- Ảnh hưởng đến răng số 7, có thể làm lung lay hoặc sâu răng kế bên.
- Các vấn đề khớp cắn, lệch hàm hoặc nhức đầu kéo dài.
Tại YEN DENTAL, mọi triệu chứng bất thường đều được bác sĩ theo dõi chặt chẽ và tư vấn phương pháp xử lý phù hợp, giúp ngăn ngừa biến chứng lâu dài.
Cần làm gì khi răng khôn mọc sai vị trí?
- Theo dõi
- Nếu răng khôn mọc lệch nhưng không ảnh hưởng đến chức năng nhai hoặc sức khỏe răng miệng, có thể chưa cần nhổ.
- Bác sĩ YEN DENTAL sẽ hướng dẫn cách theo dõi định kỳ và bảo vệ răng miệng.
- Thăm khám nha khoa định kỳ
- Chụp X-quang hoặc CT Cone Beam 3D để kiểm tra vị trí răng khôn, mức độ xương hàm và khả năng ảnh hưởng đến răng khác.

- Nhổ răng khôn khi cần thiết
- Chỉ định nhổ nếu: răng mọc lệch, mọc ngầm, gây sưng đau, viêm lợi hoặc ảnh hưởng răng bên cạnh.
- YEN DENTAL sử dụng công nghệ nhổ răng không đau Piezotome kết hợp gây tê/gây mê hiện đại, giúp hạn chế đau, chảy máu và rút ngắn thời gian hồi phục.
- Chăm sóc sau nhổ răng khôn
- Ăn thức ăn mềm, lỏng và dễ nuốt trong vài ngày đầu.
- Uống thuốc giảm đau hoặc kháng sinh theo chỉ định bác sĩ tại YEN DENTAL.
- Giữ vệ sinh răng miệng sạch sẽ để tránh viêm nhiễm và hỗ trợ hồi phục nhanh.
Tóm tắt
Răng khôn là những chiếc răng mọc cuối cùng, ít tham gia nhai nhưng dễ gây biến chứng nếu mọc lệch, mọc kẹt hoặc mọc ngầm. Việc thăm khám định kỳ tại YEN DENTAL, theo dõi và nhổ răng khi cần sẽ giúp bảo vệ sức khỏe răng miệng, ngăn ngừa biến chứng nghiêm trọng và đảm bảo quá trình nhổ diễn ra an toàn, không đau.
Răng khôn mọc bất thường – Những biến chứng nguy hiểm không nên chủ quan
Răng khôn mọc bất thường, bao gồm mọc lệch, mọc ngầm hoặc mọc chen chúc, là nguyên nhân gây ra nhiều biến chứng nghiêm trọng, ảnh hưởng trực tiếp đến sức khỏe răng miệng, chức năng ăn nhai và chất lượng cuộc sống. Tại YEN DENTAL, rất nhiều trường hợp bệnh nhân chỉ đến thăm khám khi biến chứng đã tiến triển nặng.

Dưới đây là các biến chứng phổ biến do răng khôn mọc sai vị trí mà bạn cần đặc biệt lưu ý:
1. Sâu răng khôn và răng kế cận
- Răng khôn mọc lệch hoặc mọc ngầm khiến việc vệ sinh trở nên khó khăn, thức ăn dễ mắc kẹt.
- Đây là môi trường lý tưởng cho vi khuẩn phát triển, gây sâu răng khôn.
- Nếu không điều trị kịp thời, sâu răng có thể lan sang răng số 7, gây tổn thương răng bên cạnh.

- 👉 Theo khuyến cáo của bác sĩ YEN DENTAL, trong đa số trường hợp, nhổ răng khôn là giải pháp hiệu quả và triệt để nhất.
2. Các bệnh lý về nướu
- Răng khôn mọc lệch thường cọ xát vào nướu và má, gây viêm nướu, viêm lợi kéo dài.
- Biểu hiện thường gặp: sưng nướu, đau nhức, khó há miệng, khó ăn nhai.
- Nếu để lâu, tình trạng viêm nhiễm có thể ảnh hưởng đến thẩm mỹ khuôn mặt và sức khỏe răng miệng tổng thể.
3. Ảnh hưởng nghiêm trọng đến răng số 7
- Răng khôn mọc lệch hoặc mọc ngầm có thể đâm ngang, chèn ép răng số 7.
- Hậu quả: ê buốt, lung lay, tiêu xương quanh răng số 7.
- Trường hợp nặng có thể dẫn đến mất răng số 7 vĩnh viễn nếu không can thiệp kịp thời.
4. Viêm lợi trùm răng khôn
- Lợi trùm răng khôn dễ bị viêm, gây sưng đỏ, đau nhức, mưng mủ, thậm chí kèm sốt.
- Biến chứng nặng có thể gây:
- Chảy máu nướu
- Hôi miệng
- Ê buốt răng kéo dài

- ⚠️ Viêm lợi trùm không thể tự khỏi, cần được điều trị và theo dõi bởi bác sĩ chuyên khoa.
5. Rối loạn cảm giác và phản xạ thần kinh
- Răng khôn mọc lệch có thể chèn ép dây thần kinh, gây:
- Tê môi
- Mất cảm giác vùng má, cằm
- Sưng đau lan lên vùng mặt hoặc quanh ổ mắt
- Nếu không xử lý sớm, biến chứng này có thể ảnh hưởng lâu dài đến sinh hoạt hàng ngày.
6. U nang thân răng
- Răng khôn mọc ngầm lâu ngày có thể hình thành u nang xương hàm.
- U nang gây phá hủy xương, làm tiêu xương vĩnh viễn, ảnh hưởng nghiêm trọng đến răng kế cận và cấu trúc hàm.
- Đây là biến chứng nguy hiểm cần được phát hiện sớm qua chụp X-quang/CT.

7. Viêm khớp thái dương hàm
- Răng khôn mọc lệch làm xô lệch răng, sai khớp cắn, gây áp lực lên khớp thái dương hàm.
- Biểu hiện:
- Đau khớp hàm
- Nhức đầu
- Khó ăn nhai
- Nếu kéo dài có thể dẫn đến viêm khớp thái dương hàm mạn tính, ảnh hưởng nghiêm trọng đến chất lượng cuộc sống.
Kết luận
Răng khôn mọc lệch, mọc ngầm hoặc mọc sai vị trí không chỉ gây đau nhức tạm thời mà còn tiềm ẩn nhiều biến chứng nguy hiểm cho răng, nướu, xương hàm và khớp cắn. Việc thăm khám định kỳ và nhổ răng khôn đúng thời điểm là giải pháp an toàn và hiệu quả nhất để phòng ngừa rủi ro.
Tác hại của răng khôn mọc lệch hoặc mọc ngầm
Răng khôn mọc lệch hoặc mọc ngầm không chỉ gây đau nhức tức thời mà còn tiềm ẩn nhiều biến chứng nghiêm trọng nếu không được xử lý kịp thời. Tại YEN DENTAL, bác sĩ luôn khuyến cáo khách hàng nên thăm khám định kỳ và đưa ra phương án nhổ răng khôn phù hợp, đảm bảo an toàn và hạn chế biến chứng.

1. Đau nhức và sưng tấy
- Khi răng khôn không có đủ chỗ để mọc, chúng thường đâm vào răng khác hoặc lợi, gây sưng tấy, đau nhức.
- Một số trường hợp còn kèm theo sốt, mệt mỏi, ảnh hưởng sinh hoạt và công việc hàng ngày.
- YEN DENTAL sử dụng công nghệ nhổ răng không đau Piezotome giúp giảm đau tối đa khi loại bỏ răng khôn mọc lệch hoặc ngầm.
2. Khó vệ sinh, dễ viêm nhiễm
- Răng khôn nằm sâu trong cùng hàm, khó vệ sinh bằng bàn chải hay chỉ nha khoa.
- Thức ăn thừa dễ bị mắc kẹt, tạo điều kiện cho vi khuẩn sinh sôi, gây viêm lợi hoặc viêm nha chu.

- Nếu không xử lý kịp thời, viêm nhiễm có thể lan sang răng số 7 và các răng lân cận.
- Tại YEN DENTAL, bác sĩ tư vấn chăm sóc răng miệng và vệ sinh đúng cách để giảm nguy cơ viêm nhiễm trước và sau khi nhổ răng khôn.
3. Sâu răng và hôi miệng
- Tích tụ thức ăn và vi khuẩn quanh răng khôn khiến răng số 7 hoặc răng khôn bị sâu.
- Viêm nhiễm kéo dài là nguyên nhân gây hôi miệng dai dẳng, khó cải thiện nếu răng khôn mọc sai vị trí không được xử lý.
- Nhổ răng khôn tại YEN DENTAL giúp ngăn ngừa sâu răng lan rộng và cải thiện mùi hôi miệng.

4. Tác động đến khớp cắn và cấu trúc hàm
- Răng khôn mọc lệch có thể đẩy các răng phía trước ra khỏi vị trí, gây răng chen chúc, lệch lạc.
- Mọc lệch còn khiến khớp cắn hai hàm không cân đối, dẫn đến đau hàm, khó nhai và thay đổi hình dáng khuôn mặt.

- Nhổ răng khôn đúng cách tại YEN DENTAL giúp duy trì cấu trúc hàm và khớp cắn ổn định.
5. Nguy cơ biến chứng nghiêm trọng
- Răng khôn mọc ngầm hoặc lệch có thể hình thành u nang hoặc nang xương hàm, phá hủy xương và làm lung lay răng bên cạnh.
- Nếu viêm nhiễm nặng, có thể dẫn đến áp xe răng, nhiễm trùng toàn thân, ảnh hưởng sức khỏe chung.
- Tại YEN DENTAL, bác sĩ sử dụng phim CT Cone Beam 3D để đánh giá nguy cơ và lập kế hoạch nhổ răng khôn an toàn, hạn chế biến chứng.
Kết luận
Răng khôn mọc lệch hoặc mọc ngầm không chỉ gây đau nhức tức thời mà còn ảnh hưởng lâu dài đến sức khỏe răng miệng, khớp cắn và chất lượng cuộc sống. Do đó:
- Thăm khám định kỳ tại nha khoa uy tín như YEN DENTAL là điều cần thiết.
- Nhổ răng khôn khi cần để phòng ngừa biến chứng, bảo vệ các răng bên cạnh và cấu trúc hàm.
- Tuân thủ hướng dẫn chăm sóc hậu nhổ giúp hồi phục nhanh, giảm sưng đau và ngăn ngừa viêm nhiễm.
Khi bị đau răng khôn nên làm gì?
Răng khôn là những chiếc răng mọc sau cùng trên cung hàm, thường xuất hiện trong độ tuổi từ 17 – 25. Do mọc muộn và thường thiếu chỗ trên hàm, răng khôn rất dễ mọc lệch, mọc ngầm, gây ra những cơn đau nhức dữ dội, ảnh hưởng nghiêm trọng đến ăn uống, sinh hoạt, học tập và giấc ngủ.

Khi bị đau răng khôn, bạn cần hiểu rõ nguyên nhân và xử lý đúng cách để tránh biến chứng nguy hiểm.
- Nguyên nhân gây đau răng khôn
Răng khôn đang mọc
- Khi mọc, răng khôn phải đâm xuyên qua nướu, gây đau, căng tức và sưng nướu.
- Nếu cung hàm không đủ chỗ, răng khôn sẽ mọc lệch hoặc mọc chen chúc, chèn ép răng bên cạnh, gây đau kéo dài, khó ăn nhai và mất ngủ.
Răng khôn bị sâu
- Răng khôn nằm sâu trong cùng cung hàm nên rất khó vệ sinh, thức ăn dễ bị nhồi nhét.
- Vi khuẩn phát triển gây sâu răng, ê buốt, đau nhức.

- Thực phẩm quá nóng, lạnh hoặc cứng có thể làm men răng yếu, răng khôn dễ nứt, mẻ, tạo điều kiện cho vi khuẩn xâm nhập.
Viêm lợi trùm hoặc viêm nướu quanh răng khôn
- Lợi trùm phủ một phần răng khôn tạo khe hở tích tụ vi khuẩn.
- Dẫn đến viêm, sưng đỏ, đau nhức, có thể kèm mủ, hôi miệng hoặc sốt.

- Cách giảm đau răng khôn tạm thời tại nhà
Khi cơn đau mới xuất hiện, bạn có thể áp dụng các biện pháp sau để giảm khó chịu tạm thời:
Súc miệng bằng nước muối ấm
- Pha 2–3 muỗng cà phê muối vào cốc nước ấm, súc miệng 2–3 lần/ngày.
- Nước muối giúp kháng khuẩn, giảm sưng nướu và làm dịu cơn đau.

Chườm lạnh bên ngoài má
- Dùng túi đá bọc khăn sạch, chườm ngoài má tại vị trí răng khôn đau 10–15 phút/lần.
- Giúp giảm sưng và làm tê nhẹ cơn đau.
Dùng thuốc giảm đau tạm thời (khi cần)
- Có thể dùng paracetamol hoặc ibuprofen theo đúng liều khuyến cáo.
- ⚠️ Không tự ý dùng kháng sinh khi chưa có chỉ định của bác sĩ, tránh nhờn thuốc và tác dụng phụ.
Tránh thực phẩm gây kích thích
- Không ăn đồ quá cứng, dai, nóng hoặc lạnh.
- Hạn chế đồ ngọt, nước có gas, vì làm tăng nguy cơ viêm và sâu răng.
- Khi nào cần đến nha khoa?
Bạn nên đến nha khoa càng sớm càng tốt nếu gặp các dấu hiệu sau:
- Đau răng khôn kéo dài, không thuyên giảm sau vài ngày.
- Sưng nướu, sưng má, có mủ, sốt hoặc hôi miệng.
- Răng khôn mọc lệch, mọc ngầm gây đau dữ dội.
- Xuất hiện sâu răng, mẻ răng, ê buốt lan sang răng số 7.
- Khó há miệng, đau nhức ảnh hưởng sinh hoạt hàng ngày.

Tại YEN DENTAL, bác sĩ sẽ:
- Thăm khám kỹ lưỡng
- Chụp X-quang/CT 3D
- Đánh giá chính xác vị trí răng khôn
Từ đó tư vấn phương án phù hợp:
- Nhổ răng khôn nếu răng mọc lệch, mọc ngầm hoặc gây biến chứng.
- Điều trị viêm nướu, sâu răng nếu răng khôn mọc thẳng và còn khả năng bảo tồn.
- Lời khuyên từ bác sĩ YEN DENTAL
- ❗ Không nên trì hoãn khi răng khôn đau dữ dội, vì để lâu có thể gây:
- Viêm nhiễm lan rộng
- Sâu răng số 7
- U nang xương hàm
- Viêm khớp thái dương hàm
- Giữ vệ sinh răng miệng kỹ:
- Đánh răng đúng cách
- Dùng chỉ nha khoa hoặc máy tăm nước
- Theo dõi răng khôn định kỳ, đặc biệt trong giai đoạn mọc.
YEN DENTAL – Nha khoa chuyên sâu điều trị và nhổ răng khôn an toàn
Đội ngũ bác sĩ giàu kinh nghiệm, ứng dụng công nghệ hiện đại giúp nhổ răng khôn nhẹ nhàng – ít đau – hồi phục nhanh, hạn chế tối đa biến chứng.
Khi nào cần nhổ răng khôn tại YEN DENTAL?
Nhổ răng khôn không phải lúc nào cũng cần thiết, nhưng trong một số trường hợp, việc nhổ kịp thời sẽ ngăn ngừa biến chứng nguy hiểm và bảo vệ sức khỏe răng miệng. Dưới đây là những trường hợp điển hình:

1. Răng khôn bị sâu vỡ hoặc mắc bệnh lý
- Bao gồm sâu răng, viêm nướu răng khôn, viêm nha chu hoặc áp xe quanh chân răng.
- Nếu không nhổ, tình trạng này có thể lây lan sang răng số 7, gây đau nhức và làm hư hại các răng lân cận.
2. Răng khôn mọc lệch hoặc mọc ngầm
- Răng không đủ chỗ để mọc thẳng, dẫn đến:
- Đâm sang răng kế bên, gây lung lay, tổn thương hoặc mất răng.
- Xô lệch hàm, làm thay đổi khớp cắn, ảnh hưởng thẩm mỹ và chức năng ăn nhai.
- Đau nhức, sưng tấy, khó chịu kéo dài.

3. Răng khôn mọc thẳng nhưng dị dạng
- Răng quá to, quá nhỏ hoặc quá dài sẽ:
- Chèn ép các răng khác, tạo khe nhồi nhét thức ăn, gây khó chịu khi nhai.
- Dễ dẫn đến viêm nướu, sâu răng và cảm giác cộm vướng trong miệng.
4. Răng khôn mọc thẳng nhưng không đảm bảo khớp cắn
- Nếu răng không khớp với răng đối diện, có thể trồi dài xuống, gây:
- Loét nướu, sâu răng.
- Ảnh hưởng tới mô nha chu của răng bên cạnh.

- Nhổ răng trong trường hợp này sẽ ngăn ngừa biến chứng lâu dài và bảo vệ sức khỏe răng miệng.
Tóm lại
Nhổ răng khôn cần thiết khi:
- Răng gây tác hại cho răng khác.
- Ảnh hưởng khớp cắn, gây đau nhức hoặc mắc bệnh lý.
Ngược lại, nếu răng khôn mọc thẳng, đủ chỗ và không gây vấn đề, có thể giữ lại và chỉ cần theo dõi định kỳ tại nha khoa.
💡 Lời khuyên từ YEN DENTAL:
Thăm khám định kỳ với bác sĩ chuyên môn sẽ giúp phát hiện sớm các vấn đề răng khôn, quyết định giữ hay nhổ răng một cách an toàn, tránh biến chứng nguy hiểm.
Nhổ răng khôn có ảnh hưởng đến sức khỏe không?
Nhổ răng khôn là một thủ thuật nha khoa phổ biến, nhằm loại bỏ những chiếc răng mọc sau cùng trên cung hàm khi chúng mọc lệch, mọc ngầm, gây đau nhức hoặc ảnh hưởng đến răng kế cận. Tuy nhiên, không ít người lo lắng rằng nhổ răng khôn có thể gây ảnh hưởng xấu đến sức khỏe.
👉 Thực tế, việc nhổ răng khôn không gây hại nếu được thực hiện đúng chỉ định, đúng kỹ thuật và tại nha khoa uy tín. Mức độ ảnh hưởng phụ thuộc vào tình trạng răng, tay nghề bác sĩ và cách chăm sóc sau nhổ.

- Nhổ răng khôn có ảnh hưởng đến răng miệng không?
- Sau khi nhổ răng khôn, mô nướu và xương hàm sẽ dần lành thương, lấp đầy khoảng trống răng đã mất.
- Nếu nhổ đúng kỹ thuật:
- Không gây tiêu xương
- Không ảnh hưởng răng kế cận
- Không làm lệch khớp cắn
Ngược lại, nhổ răng khôn mọc lệch hoặc mọc ngầm còn mang lại nhiều lợi ích:
- Ngăn ngừa sâu răng số 7 bên cạnh
- Phòng tránh viêm lợi trùm, viêm nha chu tái phát
- Hạn chế răng xô lệch, chen chúc trên cung hàm
- Giảm nguy cơ u nang, viêm xương hàm
👉 Kết luận: Nhổ răng khôn đúng cách giúp cải thiện sức khỏe răng miệng, không gây hại.
- Nhổ răng khôn có ảnh hưởng đến thần kinh không?
Răng khôn, đặc biệt là răng khôn hàm dưới, nằm gần các dây thần kinh quan trọng như:

- Dây thần kinh hàm dưới (Inferior Alveolar Nerve)
- Dây thần kinh lưỡi (Lingual Nerve)
Khi nào có nguy cơ ảnh hưởng thần kinh?
- Răng khôn mọc ngầm, mọc lệch phức tạp
- Bác sĩ thiếu kinh nghiệm
- Không chụp X-quang hoặc CT Cone Beam 3D trước khi nhổ
Hậu quả có thể gặp (hiếm)
- Tê môi, cằm hoặc lưỡi (thường là tạm thời)
- Giảm hoặc mất cảm giác vùng miệng
- Trường hợp rất hiếm: ảnh hưởng nhai, nói hoặc thẩm mỹ
Cách phòng tránh hiệu quả
Tại YEN DENTAL, nguy cơ này được kiểm soát tối đa nhờ:
- Chụp CT Cone Beam 3D xác định chính xác vị trí răng và dây thần kinh

- Bác sĩ chuyên sâu phẫu thuật răng khôn
- Ứng dụng công nghệ Piezotome siêu âm, giúp:
- Nhổ răng nhẹ nhàng
- Ít xâm lấn
- Giảm sưng đau và hạn chế tổn thương thần kinh
- Nhổ răng khôn có ảnh hưởng đến sức khỏe toàn thân không?
Trong điều kiện vô trùng và đúng quy trình, nhổ răng khôn hầu như không ảnh hưởng đến sức khỏe toàn thân.
Tuy nhiên, một số trường hợp cần được kiểm tra kỹ:
- Người mắc tiểu đường, tim mạch, rối loạn đông máu

- Người đang dùng thuốc chống đông
- Phụ nữ mang thai
Ngoài ra, nếu chăm sóc không đúng cách sau nhổ có thể gây:
- Nhiễm trùng ổ răng
- Sốt nhẹ, mệt mỏi
- Phản ứng phụ với thuốc (hiếm)
👉 Những rủi ro này hoàn toàn có thể phòng tránh nếu tuân thủ hướng dẫn bác sĩ.
- Kết luận: Có nên lo lắng khi nhổ răng khôn?
- ✔️ Nhổ răng khôn KHÔNG gây hại nếu được thực hiện đúng kỹ thuật
- ✔️ Giúp ngăn ngừa nhiều biến chứng nguy hiểm về răng miệng
- ✔️ Nguy cơ ảnh hưởng thần kinh hay sức khỏe toàn thân rất thấp và hiếm gặp
Điều quan trọng nhất là:
- Chọn nha khoa uy tín
- Bác sĩ giàu kinh nghiệm
- Có trang thiết bị chẩn đoán và công nghệ hiện đại
YEN DENTAL – Nhổ răng khôn an toàn, nhẹ nhàng, hồi phục nhanh
Chúng tôi áp dụng quy trình chuẩn y khoa, công nghệ tiên tiến và đội ngũ bác sĩ chuyên sâu, giúp khách hàng nhổ răng khôn ít đau – ít sưng – hạn chế tối đa biến chứng.
Những biến chứng thường gặp sau khi nhổ răng khôn và cách phòng tránh
Nhổ răng khôn là một tiểu phẫu phổ biến trong nha khoa, tuy nhiên đây vẫn là thủ thuật xâm lấn nên có thể phát sinh biến chứng nếu thực hiện sai kỹ thuật hoặc chăm sóc sau nhổ không đúng cách. Việc hiểu rõ các biến chứng thường gặp và cách phòng ngừa sẽ giúp bạn hồi phục nhanh hơn, giảm đau nhức và hạn chế tối đa rủi ro.

- Chảy máu kéo dài sau nhổ răng khôn
Nguyên nhân
- Sau khi nhổ răng, cơ thể sẽ hình thành cục máu đông tại huyệt ổ răng để cầm máu tự nhiên.
- Chảy máu kéo dài xảy ra khi cục máu đông không hình thành hoặc bị bong sớm, do:
- Nhai mạnh, súc miệng quá mạnh, dùng lưỡi hoặc tay chạm vào ổ răng
- Người có bệnh lý nền: rối loạn đông máu, đang dùng thuốc chống đông
- Kỹ thuật nhổ răng chưa chuẩn, cầm máu không triệt để
Hậu quả
- Mất máu kéo dài gây mệt mỏi, suy nhược
- Nguy cơ nhiễm trùng ổ răng
- Trường hợp nặng có thể phải tái can thiệp để cầm máu
Cách phòng tránh
- Cắn gạc đúng cách trong 30 – 60 phút sau nhổ
- Không ăn uống, không súc miệng mạnh trong 24 giờ đầu
- Thông báo với bác sĩ nếu đang dùng thuốc chống đông
👉 Tại YEN DENTAL, bác sĩ kiểm soát cầm máu kỹ lưỡng ngay sau nhổ, hạn chế tối đa tình trạng chảy máu kéo dài.
- Nhiễm trùng huyệt ổ răng
Nguyên nhân
- Vi khuẩn xâm nhập vào huyệt ổ răng chưa lành
- Thường gặp khi:
- Vệ sinh răng miệng không đúng cách
- Môi trường vô trùng kém
- Sức đề kháng yếu
Triệu chứng
- Sưng đỏ, đau nhức tăng dần tại vị trí nhổ
- Có mủ, mùi hôi miệng
- Sốt, mệt mỏi toàn thân
Hậu quả
- Nhiễm trùng lan rộng, hình thành áp xe
- Kéo dài thời gian hồi phục, phải dùng kháng sinh hoặc can thiệp y tế
Cách phòng tránh
- Vệ sinh răng miệng nhẹ nhàng, đúng hướng dẫn
- Uống thuốc kháng sinh, kháng viêm theo đơn bác sĩ

- Tái khám đúng lịch để phát hiện sớm biến chứng
👉 YEN DENTAL áp dụng quy trình vô trùng khép kín, giảm tối đa nguy cơ nhiễm trùng sau nhổ răng khôn.
- Đau nhức kéo dài sau nhổ răng khôn
Nguyên nhân
- Đau nhẹ trong 24 – 48 giờ đầu là bình thường
- Đau kéo dài hoặc tăng dần có thể do:
- Nhiễm trùng ổ răng
- Nhổ sót chân răng
- Tổn thương mô mềm hoặc xương quá mức
Triệu chứng
- Đau âm ỉ, lan ra vùng tai, thái dương
- Khó há miệng, khó ăn nhai
Cách phòng tránh
- Dùng thuốc giảm đau đúng liều
- Chườm lạnh 24 – 48 giờ đầu, sau đó chườm ấm

- Tránh nhai mạnh bên vừa nhổ răng
- Viêm xương hàm (Osteomyelitis)
Nguyên nhân
- Tổn thương xương trong quá trình nhổ
- Nhiễm trùng ổ răng không được điều trị kịp thời
Triệu chứng
- Đau dữ dội, sưng kéo dài
- Sốt, mệt mỏi
- Hạn chế há miệng, ăn nhai khó khăn
Hậu quả
- Phá hủy cấu trúc xương hàm
- Phải điều trị phức tạp, thậm chí phẫu thuật
Cách phòng tránh
- Nhổ răng tại nha khoa uy tín, bác sĩ giàu kinh nghiệm
- Tuân thủ chăm sóc sau nhổ
- Tái khám đúng lịch hẹn
👉 YEN DENTAL sử dụng công nghệ nhổ răng hiện đại, giúp giảm sang chấn xương và hạn chế viêm nhiễm.

- Một số biến chứng khác ít gặp nhưng nguy hiểm
- Viêm huyệt ổ răng khô (Dry Socket)
- Tổn thương dây thần kinh gây tê môi, lưỡi hoặc cằm
- Sưng mặt, sưng má nghiêm trọng ảnh hưởng thẩm mỹ
Hướng dẫn chăm sóc sau nhổ răng khôn để giảm biến chứng
- Cắn gạc đúng cách
- 30 – 60 phút sau nhổ
- Không nói chuyện, không chạm vào ổ răng
- Uống thuốc đúng chỉ định
- Không tự ý mua hoặc ngưng thuốc
- Chườm lạnh – chườm ấm
- 24 – 48 giờ đầu: chườm lạnh
- Sau đó: chườm ấm
- Vệ sinh răng miệng nhẹ nhàng
- Ngày đầu súc miệng nhẹ
- Ngày sau chải răng cẩn thận
- Chế độ ăn uống hợp lý
- Ăn mềm, lỏng

-
- Tránh cay nóng, rượu bia, đồ cứng
- Tái khám đúng lịch
- Kiểm tra lành thương, cắt chỉ
- Phát hiện sớm biến chứng
Kết luận
Nhổ răng khôn là thủ thuật phổ biến nhưng có thể gây biến chứng nếu thực hiện không đúng kỹ thuật hoặc chăm sóc sai cách. Hầu hết các biến chứng đều có thể phòng ngừa nếu:
- Lựa chọn nha khoa uy tín như YEN DENTAL
- Bác sĩ có chuyên môn cao, trang thiết bị hiện đại
- Tuân thủ nghiêm ngặt hướng dẫn sau nhổ
- Tái khám và liên hệ bác sĩ ngay khi có dấu hiệu bất thường
👉 Hiểu rõ và chăm sóc đúng cách sẽ giúp bạn nhổ răng khôn an toàn – hồi phục nhanh – không lo biến chứng.
Nhổ răng khôn không đau – Giải pháp an toàn và hiệu quả tại YEN DENTAL
Nhổ răng khôn hiện nay không còn là nỗi ám ảnh về đau nhức nhờ sự kết hợp giữa công nghệ hiện đại và tay nghề bác sĩ chuyên môn cao. Phương pháp này giúp bệnh nhân trải qua quá trình nhổ nhẹ nhàng, an toàn và phục hồi nhanh chóng.
1. Công nghệ và thiết bị hỗ trợ
- Chụp X-quang CT Cone Beam 3D: Xác định chính xác vị trí, hướng mọc và cấu trúc xương quanh răng khôn.

- Máy siêu âm Piezotome: Sử dụng sóng siêu âm 28–36 kHz để bóc tách dây chằng nha chu quanh răng, giúp lấy răng ra dễ dàng mà không làm tổn thương mô mềm.
- Kỹ thuật gây tê/gây mê hiện đại: Đảm bảo bệnh nhân không cảm thấy đau trong suốt quá trình nhổ, đặc biệt với răng mọc phức tạp hoặc bệnh nhân lo lắng.
2. Ưu điểm của nhổ răng khôn không đau
- Hạn chế đau và chảy máu: Nhờ sóng siêu âm thay vì lực mạnh như phương pháp truyền thống.
- Bảo tồn xương ổ răng: Ít tác động lên xương, giúp vết thương hồi phục nhanh.
- Thời gian hồi phục nhanh: Giảm sưng, đau và hạn chế kiêng cữ, giúp bệnh nhân trở lại sinh hoạt bình thường sớm.
- An toàn và kiểm soát tốt: Toàn bộ quá trình gây tê hoặc gây mê được theo dõi bởi bác sĩ chuyên khoa giàu kinh nghiệm.

3. Nhược điểm cần lưu ý
- Yêu cầu bác sĩ giỏi, giàu kinh nghiệm, đặc biệt với răng khôn mọc lệch hoặc mọc ngầm.
- Chỉ thực hiện tại các trung tâm nha khoa uy tín, có đủ trang thiết bị hiện đại.
- Chi phí cao hơn so với nhổ răng truyền thống, nhưng đi kèm với hiệu quả và an toàn tối ưu.
Tóm lại
Nhổ răng khôn không đau là phương pháp an toàn, ít xâm lấn, giúp bệnh nhân giảm đau, hạn chế chảy máu và phục hồi nhanh chóng.
Tại YEN DENTAL, chúng tôi kết hợp công nghệ hiện đại, tay nghề bác sĩ chuyên môn cao và môi trường nha khoa tiêu chuẩn, mang lại trải nghiệm nhổ răng khôn nhẹ nhàng, an toàn và hiệu quả.
Quy trình nhổ răng khôn tại YEN DENTAL: An toàn, không đau, hạn chế biến chứng
Nhổ răng khôn – đặc biệt là răng mọc lệch, mọc ngầm – là một trong những thủ thuật nha khoa phức tạp. Tại YEN DENTAL, chúng tôi thực hiện quy trình nhổ răng khôn chuẩn y khoa, đảm bảo không đau, an toàn và hạn chế biến chứng, gồm 5 bước chính:
Bước 1: Thăm khám tổng quát và chụp phim X-quang
- Khám tổng quát tình trạng răng miệng: kiểm tra răng, nướu, mức độ sâu răng, viêm nhiễm và sức khỏe tổng thể.
- Chụp CT Cone Beam 3D xác định vị trí, hướng mọc, độ nghiêng, số chân răng và mối quan hệ với dây thần kinh, xoang hàm, răng số 7.

- Lập kế hoạch nhổ răng chi tiết: xác định kỹ thuật gây tê/gây mê, có cần chia nhỏ thân răng hay không.
Ưu điểm: Giảm tối đa rủi ro tổn thương dây thần kinh, xương hàm hay răng bên cạnh, giúp dự đoán trước khó khăn trong quá trình nhổ.
Bước 2: Sát khuẩn và chuẩn bị khoang miệng
- Vệ sinh và sát khuẩn toàn bộ khoang miệng để ngăn ngừa nhiễm trùng.
- Kiểm tra mức độ viêm nướu, chảy máu hoặc nhiễm trùng nếu có, từ đó điều chỉnh thuốc hỗ trợ phù hợp.
Ưu điểm: Tạo môi trường sạch sẽ, chuẩn bị cho quá trình nhổ răng diễn ra an toàn.
Bước 3: Gây tê
- Gây tê tại chỗ không đau, giúp bệnh nhân thoải mái, giảm lo lắng.

- Trường hợp răng mọc khó hoặc bệnh nhân lo sợ, có thể thực hiện gây mê nhẹ, đảm bảo quá trình nhổ diễn ra nhẹ nhàng, không ảnh hưởng tâm lý.
Ưu điểm: Giảm đau và căng thẳng, giúp quá trình nhổ nhanh chóng và an toàn.
Bước 4: Nhổ răng khôn
- Răng khôn mọc thẳng, dễ: Nhổ trực tiếp, ít xâm lấn, hạn chế chảy máu, thời gian hồi phục nhanh.
- Răng mọc khó (lệch, ngầm): Chia nhỏ thân răng, tách rời từng phần để lấy ra nhẹ nhàng, bảo vệ mô mềm và xương ổ răng.
- Công nghệ hỗ trợ: Máy siêu âm Piezotome bóc tách dây chằng nha chu, giảm chảy máu và áp lực lên xương hàm.
- Kiểm soát lực nhổ: Bác sĩ giàu kinh nghiệm đảm bảo lực vừa đủ, bảo tồn xương ổ răng tối đa.

Ưu điểm: Nhổ răng khôn không đau, ít chảy máu, hạn chế xâm lấn, đặc biệt với răng ngầm hoặc lệch phức tạp.
Bước 5: Hướng dẫn chăm sóc sau nhổ và hẹn tái khám
- Hướng dẫn chăm sóc chi tiết: vệ sinh, súc miệng, tránh chải trực tiếp vùng nhổ răng.
- Thực phẩm nên ăn: mềm, lỏng, dễ nhai; thực phẩm cần tránh: cứng, dai, cay nóng.
- Sử dụng thuốc giảm đau, kháng viêm hoặc kháng sinh theo chỉ định.
- Hẹn lịch tái khám: kiểm tra lành thương, cắt chỉ nếu cần, đánh giá tổng thể sức khỏe răng miệng.
Ưu điểm: Hồi phục nhanh, ngăn ngừa biến chứng như viêm nhiễm, sưng lâu ngày hoặc ảnh hưởng răng bên cạnh.
Quy trình nhổ răng khôn tại YEN DENTAL:
- Không đau: nhờ kỹ thuật gây tê/gây mê và máy Piezotome hiện đại.
- An toàn: hạn chế xâm lấn, bảo tồn xương ổ răng và mô mềm.
- Hạn chế biến chứng: nhờ chẩn đoán CT 3D, sát khuẩn kỹ và chăm sóc hậu phẫu chu đáo.
- Hồi phục nhanh: giúp bệnh nhân trở lại sinh hoạt bình thường sớm.
Ngay cả với răng khôn mọc khó, mọc ngầm hay lệch phức tạp, quy trình tại YEN DENTAL vẫn đảm bảo nhổ an toàn, giảm đau và giảm lo lắng cho bệnh nhân.
Những lưu ý sau khi tiểu phẫu nhổ răng khôn tại YEN DENTAL
Nhổ răng khôn là một tiểu phẫu phổ biến, nhưng do vị trí răng nằm sâu trong cùng hàm, vết thương sau nhổ cần được chăm sóc cẩn thận để hạn chế sưng đau, chảy máu và nhiễm trùng. Dưới đây là những lưu ý quan trọng giúp bạn hồi phục nhanh và an toàn.

- Cắn chặt gạc sau nhổ răng
- Ngay sau nhổ, bác sĩ sẽ đặt miếng gạc lên vị trí vết thương. Bạn cần cắn chặt trong 30 – 60 phút để tạo lực ép giúp hình thành cục máu đông và cầm máu.
- Trong thời gian này, hạn chế nói chuyện, cử động hàm mạnh để tránh làm lỏng gạc.
- Khi gạc được lấy ra, không cắn lại quá lâu, vì dễ kéo theo cục máu đông, gây chảy máu trở lại.
Lưu ý: Cục máu đông là “lá chắn” quan trọng giúp vết thương nhanh lành. Không tác động mạnh vào vùng nhổ răng trong 24 giờ đầu.
- Uống thuốc theo chỉ định
- Sau nhổ răng, bạn có thể cảm thấy sưng, đau nhức hoặc khó chịu nhẹ.
- Bác sĩ sẽ kê thuốc giảm đau, kháng viêm và đôi khi kháng sinh để ngăn ngừa nhiễm trùng.
- Tuyệt đối không tự ý đổi thuốc hoặc mua thuốc bên ngoài, vì điều này có thể làm chậm quá trình lành vết thương hoặc gây tác dụng phụ.
- Chườm lạnh và chườm ấm
- 1 – 2 ngày đầu: Chườm lạnh bên ngoài má giúp giảm sưng và đau nhanh chóng. Chườm 10 – 15 phút/lần, nghỉ 10 phút rồi tiếp tục.

- Sau 2 – 3 ngày: Chuyển sang chườm ấm để tăng tuần hoàn máu, làm tan máu bầm và giảm căng cơ hàm.
- Tránh chườm quá nóng hoặc quá lạnh để không gây bỏng hoặc tổn thương mô mềm.
- Vệ sinh răng miệng đúng cách
- Ngày đầu: Súc miệng nhẹ nhàng bằng dung dịch chuyên dụng, tránh khạc nhổ mạnh hoặc dùng nước muối quá mặn.
- Ngày thứ 2 trở đi: Có thể đánh răng nhẹ nhàng, tránh chạm vào vùng vừa nhổ. Dùng bàn chải mềm, hướng từ nướu ra răng.
- Không dùng chỉ nha khoa hoặc tăm tại vùng nhổ răng cho đến khi vết thương hoàn toàn lành.
- Chế độ ăn uống hợp lý
- Những ngày đầu: Ăn thức ăn mềm, lỏng, dễ nuốt như cháo, súp, sữa, sữa chua, sinh tố.

- Tránh nhai mạnh, đồ quá cứng, giòn, dai, cay nóng hoặc chứa cồn.
- Ăn uống sau khi hết thuốc tê: Nhai nhẹ nhàng, tránh tác động mạnh lên vùng nhổ răng.
- Uống đủ nước và duy trì chế độ ăn giàu dưỡng chất để tăng sức đề kháng và hỗ trợ hồi phục.
- Tái khám đúng lịch
- Bác sĩ sẽ hẹn tái khám để kiểm tra tốc độ lành thương, cắt chỉ (nếu có) và đảm bảo không nhiễm trùng.
- Nếu xuất hiện chảy máu nhiều, sưng to, sốt, mủ, đau dữ dội, cần liên hệ ngay với bác sĩ.
- Lưu ý quan trọng khác
- Tránh hút thuốc lá và uống rượu bia ít nhất 1 tuần sau nhổ, vì nicotine và cồn làm chậm lành thương.
- Nghỉ ngơi, hạn chế vận động mạnh, tránh cúi gập người nhiều trong vài ngày đầu.
- Không tự nạy hoặc chạm tay vào vùng nhổ răng để tránh nhiễm trùng.
💡 Kết luận:
Chăm sóc đúng cách sau nhổ răng khôn sẽ giúp bạn hồi phục nhanh, giảm đau nhức và ngăn ngừa biến chứng. Tại YEN DENTAL, bác sĩ chuyên môn cao và quy trình vô trùng hiện đại sẽ đảm bảo bạn nhổ răng khôn an toàn – nhẹ nhàng – nhanh hồi phục.


