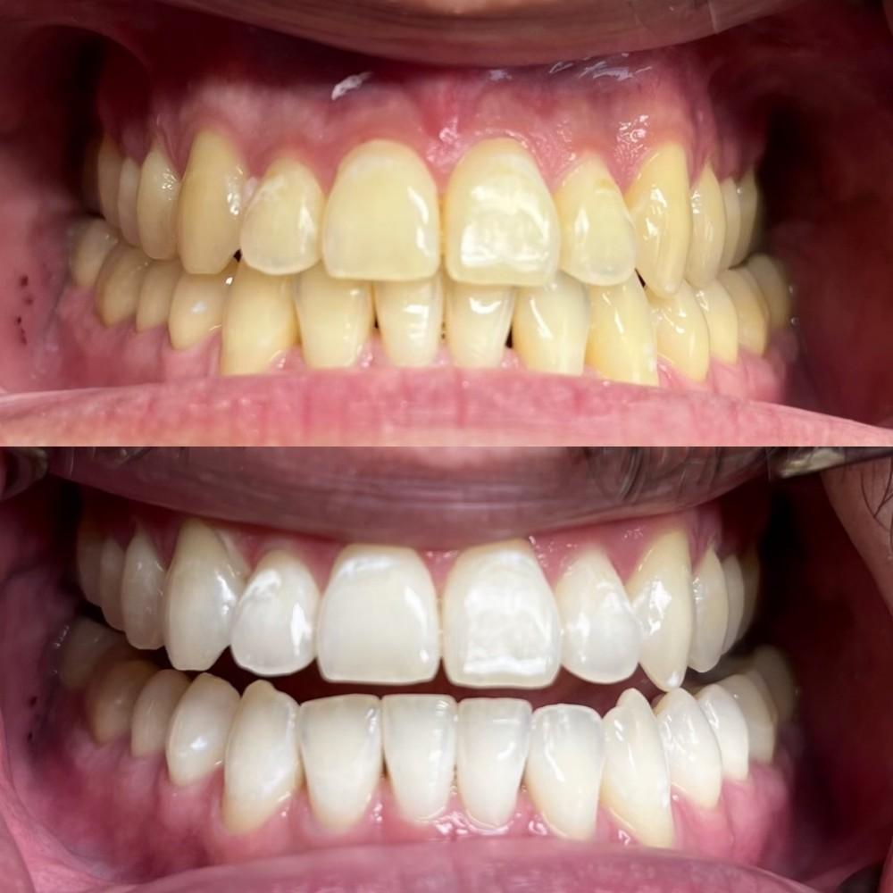
Tẩy Trắng Răng Thẩm Mỹ – Giải Pháp Cho Nụ Cười Tươi Sáng
Tẩy trắng răng thẩm mỹ là phương pháp nha khoa hiện đại, giúp loại bỏ các sắc tố nâu, vàng hoặc ố trên men răng và ngà răng, mang lại hàm răng trắng sáng hơn. Phương pháp này không chỉ nâng cao thẩm mỹ mà còn tăng sự tự tin trong giao tiếp, đặc biệt phù hợp với những người thường xuyên gặp gỡ khách hàng hoặc tham gia các sự kiện quan trọng.

Cơ chế thực hiện tại YEN DENTAL
- Thoa gel tẩy trắng: Gel chứa hydrogen peroxide hoặc carbamide peroxide được thoa lên bề mặt răng. Đây là các chất oxy hóa mạnh, có khả năng phá vỡ các liên kết phân tử gây màu trên răng.
- Kích hoạt bằng ánh sáng: Nhiều trung tâm nha khoa hiện đại, bao gồm YEN DENTAL, sử dụng ánh sáng laser hoặc LED để thúc đẩy phản ứng oxy hóa, giúp gel hoạt động hiệu quả hơn.
- Phản ứng hóa học: Các chuỗi phân tử màu bị cắt đứt, loại bỏ vết ố vàng hay nâu, trả lại màu răng tự nhiên, trắng sáng hơn.
- Bảo vệ cấu trúc răng: Men răng và ngà răng vẫn được giữ nguyên, không bị bào mòn hay hư hại nếu quy trình được thực hiện đúng kỹ thuật.
Lưu ý: Tẩy trắng răng không thể làm răng trắng hoàn toàn như răng sứ hoặc veneer. Hiệu quả phụ thuộc vào màu răng ban đầu, mức độ ố vàng và thói quen ăn uống của mỗi người.
Những đối tượng phù hợp với tẩy trắng răng
Tẩy trắng răng thường được chỉ định cho những trường hợp sau:

- Răng xỉn màu, ố vàng: Do vệ sinh răng miệng chưa đúng cách, mảng bám tích tụ lâu ngày.
- Ngả màu do thực phẩm: Người uống nhiều cà phê, trà, nước ngọt, hoặc sử dụng thức ăn có màu đậm, phẩm tạo màu nhân tạo.
- Men răng khỏe mạnh: Răng không bị mài mòn, sâu, viêm nướu hay các bệnh lý nha khoa khác.
- Đủ tuổi trưởng thành: Từ 18 tuổi trở lên, xương hàm và men răng đã phát triển hoàn thiện.
- Sức khỏe ổn định: Không mắc bệnh lý mạn tính hoặc tình trạng sức khỏe không đảm bảo, giúp giảm nguy cơ phản ứng phụ.
Những đối tượng này có thể tẩy trắng răng tại phòng khám YEN DENTAL với hiệu quả tốt, hạn chế ê buốt và rủi ro.
Những trường hợp không nên tẩy trắng răng
Tẩy trắng răng không phù hợp với mọi đối tượng. Một số trường hợp cần tránh:
- Bệnh lý răng miệng: Sâu răng, viêm nha chu, tụt lợi, mòn cổ răng… vì hóa chất tẩy trắng có thể kích thích tủy, làm tình trạng nặng hơn.
- Dị ứng thuốc: Người từng dị ứng với hydrogen peroxide hoặc các thành phần trong gel tẩy trắng.
- Trẻ em dưới 18 tuổi: Răng chưa phát triển hoàn thiện, men răng mỏng, dễ ê buốt, tủy răng dễ tổn thương.
- Phụ nữ mang thai hoặc cho con bú: Thuốc tẩy trắng có thể ảnh hưởng đến thai nhi hoặc trẻ sơ sinh.
Tẩy Trắng Răng Có Hại Không? – Lời Khuyên Từ YEN DENTAL
Nhiều người muốn cải thiện tình trạng răng xỉn màu, ố vàng nhưng vẫn băn khoăn liệu tẩy trắng răng có gây hại không. Đây là câu hỏi hoàn toàn hợp lý, bởi men răng là lớp bảo vệ quan trọng, nếu tác động sai cách có thể ảnh hưởng sức khỏe răng miệng.
- Tẩy trắng răng có an toàn không?
Tẩy trắng răng là phương pháp nha khoa thẩm mỹ không xâm lấn, nghĩa là không mài răng, không phá hủy cấu trúc răng. Tuy nhiên, mức độ an toàn phụ thuộc vào:
- Tình trạng răng miệng: Răng khỏe mạnh, không sâu hay viêm nướu thì tẩy trắng hoàn toàn an toàn. Nếu răng đang bị bệnh lý, cần điều trị trước.
- Chất lượng thuốc tẩy trắng: Gel tẩy trắng chuyên dụng tại nha khoa như YEN DENTAL được kiểm định, đảm bảo trắng răng mà không làm hại men. Sản phẩm trôi nổi, nồng độ cao có thể làm men răng mòn, ê buốt.
- Kỹ thuật thực hiện: Thực hiện bởi bác sĩ chuyên khoa, theo đúng quy trình, giúp giảm tối đa tác dụng phụ và đạt hiệu quả trắng răng rõ rệt.

- Những tác dụng phụ có thể gặp
Một số cơ địa nhạy cảm có thể gặp:
- Ê buốt răng nhẹ: Khi ánh sáng laser kích hoạt gel hoặc nồng độ peroxide cao. Thường kéo dài vài giờ đến vài ngày và tự hết.
- Kích ứng nướu: Gel tẩy trắng tiếp xúc trực tiếp với nướu có thể gây nóng rát, nhưng sẽ biến mất sau vài giờ nếu vệ sinh đúng cách.
- Màu răng không đồng đều: Một số răng men mỏng hoặc nhiễm màu lâu năm có thể trắng nhanh hơn hoặc chậm hơn, gây chênh lệch màu tạm thời.
Lưu ý: Tác dụng phụ thường nhẹ và kiểm soát được. Nếu tẩy trắng tại nhà sai kỹ thuật hoặc dùng thuốc không rõ nguồn gốc, nguy cơ mòn men, ê buốt kéo dài, tổn thương nướu hoặc tủy răng sẽ cao hơn.
- Trường hợp cần thận trọng hoặc tránh tẩy trắng
Một số đối tượng không nên tẩy trắng hoặc cần cẩn trọng:
- Người bị sâu răng, viêm nướu, viêm nha chu, tụt lợi hoặc mòn cổ răng.
- Người dị ứng với hydrogen peroxide hoặc carbamide peroxide.
- Trẻ em dưới 18 tuổi, răng chưa phát triển hoàn thiện.
- Phụ nữ mang thai hoặc đang cho con bú.
Trong các trường hợp này, tẩy trắng có thể kích thích tủy răng, tăng ê buốt, thậm chí làm tình trạng răng miệng nghiêm trọng hơn.
- Cách tẩy trắng răng an toàn và hiệu quả

Để đảm bảo an toàn và hiệu quả:
- Khám răng trước khi tẩy trắng: Điều trị các bệnh lý nếu có.
- Chọn nha khoa uy tín: Thực hiện tại YEN DENTAL, bác sĩ chuyên khoa, gel chất lượng, ánh sáng kích hoạt an toàn.
- Tuân thủ hướng dẫn bác sĩ: Cả khi tẩy trắng tại phòng khám và sử dụng gel tại nhà.
- Hạn chế thực phẩm gây ố màu: cà phê, trà, nước ngọt, rượu vang đỏ.
- Theo dõi các triệu chứng: Nếu ê buốt kéo dài, nướu sưng đỏ hoặc răng nhạy cảm bất thường, liên hệ ngay với bác sĩ.
- Kết luận
Tẩy trắng răng không hại nếu thực hiện đúng cách. Đây là phương pháp thẩm mỹ hiệu quả, giúp loại bỏ sắc tố ố vàng, lấy lại hàm răng trắng sáng tự nhiên và cải thiện nụ cười.
An toàn hay không phụ thuộc vào: tình trạng răng miệng, chất lượng thuốc và kỹ thuật thực hiện.
Do đó, bạn nên tham khảo ý kiến bác sĩ, thực hiện tại nha khoa uy tín như YEN DENTAL và tuân thủ hướng dẫn chăm sóc sau tẩy trắng để đạt hiệu quả tối ưu, hạn chế rủi ro và duy trì hàm răng trắng sáng lâu dài.
Quy trình tẩy trắng răng tại YEN DENTAL
Một dịch vụ tẩy trắng răng chất lượng cao không chỉ đơn thuần mang lại hàm răng trắng sáng mà còn phải đảm bảo tính an toàn, hạn chế ê buốt và mang lại trải nghiệm thoải mái cho khách hàng trong suốt quá trình thực hiện. Chính vì vậy, tại YEN DENTAL, quy trình tẩy trắng răng được xây dựng và thực hiện theo tiêu chuẩn nha khoa nghiêm ngặt, tuân thủ đầy đủ các bước cần thiết nhằm tối ưu hiệu quả và bảo vệ sức khỏe răng miệng.
Dưới đây là quy trình tẩy trắng răng chuyên nghiệp tại YEN DENTAL:
Bước 1: Thăm khám tổng quát và tư vấn chuyên sâu
Trước khi tiến hành tẩy trắng, bác sĩ sẽ thực hiện khám răng miệng tổng quát để đánh giá chính xác tình trạng sức khỏe răng – nướu của khách hàng. Các yếu tố như: men răng, mức độ xỉn màu, tình trạng sâu răng, viêm nướu, mòn cổ răng… sẽ được kiểm tra kỹ lưỡng.

Sau đó, bác sĩ tiến hành đo màu răng hiện tại bằng thang màu chuyên dụng, xác định nguyên nhân gây nhiễm màu (thực phẩm, thuốc, tuổi tác…) và tư vấn phương pháp tẩy trắng phù hợp. Đồng thời, khách hàng sẽ được giải thích rõ về hiệu quả đạt được, mức độ trắng sáng dự kiến cũng như những lưu ý trước – trong – sau khi tẩy trắng.
Bước 2: Vệ sinh khoang miệng và cạo vôi răng
Để quá trình tẩy trắng đạt hiệu quả tối ưu, khách hàng sẽ được cạo vôi răng và làm sạch khoang miệng (nếu có cao răng). Mảng bám và cao răng nếu tồn tại sẽ cản trở thuốc tẩy thấm đều vào bề mặt răng, đồng thời làm tăng nguy cơ kích ứng nướu.

Việc vệ sinh răng miệng kỹ lưỡng trước khi tẩy trắng giúp:
- Thuốc làm trắng phát huy tác dụng tốt hơn
- Màu răng sau tẩy đồng đều hơn
- Giảm nguy cơ viêm nhiễm và ê buốt
Bước 3: Cách ly răng và bảo vệ nướu
Ở bước này, bác sĩ sẽ sử dụng đế cao su chuyên dụng hoặc gel cách ly nướu để bảo vệ mô mềm xung quanh răng. Việc cách ly giúp ngăn không cho thuốc tẩy trắng tiếp xúc trực tiếp với nướu, môi và má trong, từ đó tránh tình trạng bỏng rát, kích ứng hay khó chịu.

Đây là bước rất quan trọng, thể hiện tính an toàn và chuyên nghiệp trong quy trình tẩy trắng răng tại YEN DENTAL.
Bước 4: Thoa thuốc tẩy trắng lên bề mặt răng
Bác sĩ sẽ tiến hành thoa thuốc tẩy trắng chuyên dụng lên toàn bộ bề mặt răng cần làm trắng. Thuốc được bôi đều, đúng liều lượng và đúng vị trí để đảm bảo hiệu quả làm trắng đồng nhất, không gây tổn hại đến men răng hay ngà răng.

Các loại thuốc tẩy trắng được sử dụng tại YEN DENTAL đều có nguồn gốc rõ ràng, đạt tiêu chuẩn an toàn nha khoa, phù hợp với từng tình trạng răng khác nhau.
Bước 5: Chiếu đèn Laser kích hoạt thuốc tẩy
Sau khi thoa thuốc, bác sĩ sẽ sử dụng đèn Laser nha khoa với cường độ phù hợp để kích hoạt hoạt chất làm trắng. Dưới tác động của ánh sáng, phản ứng oxy hóa sẽ diễn ra, giúp phá vỡ các chuỗi phân tử màu tích tụ lâu năm trong men và ngà răng.

Quá trình chiếu đèn được kiểm soát chặt chẽ về thời gian và cường độ nhằm:
- Đảm bảo răng trắng sáng rõ rệt
- Hạn chế ê buốt tối đa
- Không làm tổn hại cấu trúc răng
Bước 6: Làm sạch và đánh bóng răng
Sau khi kết thúc thời gian chiếu đèn, bác sĩ sẽ loại bỏ hoàn toàn thuốc tẩy trắng, rửa sạch khoang miệng và tiến hành đánh bóng bề mặt răng. Việc đánh bóng giúp răng trở nên láng mịn, sáng bóng và hạn chế mảng bám quay trở lại.

Bác sĩ cũng sẽ kiểm tra và so sánh màu răng trước – sau khi tẩy trắng, giúp khách hàng dễ dàng nhận thấy sự thay đổi rõ rệt.
Bước 7: Hướng dẫn chăm sóc răng sau tẩy trắng
Kết thúc quy trình, khách hàng sẽ được bác sĩ:
- Hướng dẫn cách vệ sinh răng miệng đúng cách tại nhà
- Tư vấn chế độ ăn uống phù hợp, hạn chế thực phẩm sậm màu
- Chỉ dẫn cách duy trì màu răng trắng sáng lâu dài
Việc tuân thủ đúng hướng dẫn chăm sóc sau tẩy trắng sẽ giúp kéo dài hiệu quả làm trắng và bảo vệ răng chắc khỏe về lâu dài.
Tóm lại
Quy trình tẩy trắng răng tại YEN DENTAL được thực hiện bài bản, khoa học và an toàn, giúp khách hàng sở hữu hàm răng trắng sáng tự nhiên, đều màu mà không gây đau nhức hay ảnh hưởng đến sức khỏe răng miệng.
Thời Gian Thực Hiện và Duy Trì Kết Quả Tẩy Trắng Răng
Tẩy trắng răng tại nha khoa hiện nay được xem là phương pháp nhanh chóng, hiệu quả để cải thiện răng ố vàng, xỉn màu, mang lại nụ cười trắng sáng và tự tin chỉ trong một thời gian ngắn. Nhiều khách hàng thường băn khoăn: tẩy trắng răng mất bao lâu và có ảnh hưởng đến sinh hoạt hàng ngày không?

Thời gian thực hiện tại YEN DENTAL
Về bản chất, tẩy trắng răng là quá trình sử dụng chất oxy hóa kết hợp với năng lượng ánh sáng (Laser/LED) để phá vỡ các chuỗi phân tử gây màu trong men răng và ngà răng. Nhờ cơ chế này, răng trắng sáng rõ rệt mà không ảnh hưởng đến cấu trúc răng thật.
Nhờ quy trình khoa học và sự hỗ trợ của công nghệ hiện đại tại YEN DENTAL, thời gian thực hiện thường chỉ kéo dài 30 – 45 phút:
- Thăm khám, kiểm tra và chuẩn bị: khoảng 5 – 10 phút
- Bôi gel và chiếu đèn kích hoạt: khoảng 20 – 30 phút
- Làm sạch, đánh bóng và kiểm tra màu răng: khoảng 5 – 10 phút

Chỉ trong một buổi hẹn, bạn đã có thể sở hữu hàm răng trắng sáng hơn rõ rệt mà không làm gián đoạn công việc hay sinh hoạt hàng ngày.
Kết quả tẩy trắng răng duy trì bao lâu?
Độ bền màu sau khi tẩy trắng phụ thuộc vào nhiều yếu tố:
- Cấu trúc men răng và ngà răng
- Cơ địa từng người
- Chế độ ăn uống hàng ngày
- Thói quen vệ sinh răng miệng
- Việc có sử dụng thuốc lá, cà phê, trà đậm hay không
Thông thường:
- 10 – 14 ngày đầu: màu răng ổn định hoàn toàn
- 3 – 5 năm: nếu áp dụng công nghệ hiện đại và chăm sóc răng đúng cách
- 1 – 2 năm đầu: răng có thể giảm độ trắng nhẹ do sinh hoạt hằng ngày nhưng vẫn trắng sáng hơn trước khi tẩy

Cách kéo dài hiệu quả tẩy trắng răng
Để duy trì nụ cười trắng sáng lâu dài, bác sĩ tại YEN DENTAL khuyến nghị:
- Hạn chế thực phẩm và đồ uống sẫm màu, tránh thuốc lá
- Vệ sinh răng miệng đúng cách, sử dụng chỉ nha khoa và nước súc miệng
- Dùng sản phẩm duy trì trắng răng theo hướng dẫn của bác sĩ
- Thăm khám nha khoa định kỳ 6 tháng/lần
Kết luận
Tẩy trắng răng là phương pháp nhanh – an toàn – hiệu quả, chỉ mất khoảng 30 – 45 phút nhưng mang lại giá trị thẩm mỹ lâu dài nếu được chăm sóc đúng cách. Đây là giải pháp lý tưởng cho những ai mong muốn cải thiện màu răng, nâng cao sự tự tin trong giao tiếp và cuộc sống hàng ngày tại YEN DENTAL.
Những Điều Cần Lưu Ý Sau Khi Tẩy Trắng Răng tại YEN DENTAL
Sau khi tẩy trắng răng, bề mặt men răng trở nên sáng hơn nhưng cũng nhạy cảm hơn trong một thời gian. Việc chăm sóc đúng cách không chỉ giúp giảm ê buốt mà còn duy trì màu răng trắng sáng lâu dài, hạn chế tình trạng răng nhanh chóng ngả màu trở lại. Dưới đây là những lưu ý quan trọng bạn nên tuân thủ:
1. Chế độ ăn uống khoa học
Chế độ ăn ảnh hưởng trực tiếp đến hiệu quả tẩy trắng răng:
- Tránh thuốc lá: Nicotine và hắc ín trong thuốc lá là nguyên nhân hàng đầu khiến răng ố vàng, làm giảm hiệu quả tẩy trắng.
- Hạn chế thực phẩm sẫm màu: cà phê, trà đặc, nước ngọt có gas, rượu vang đỏ, nước tương, cà ri, socola…

- Ưu tiên thực phẩm sáng hoặc trung tính: cơm, cháo, súp, sữa, sữa chua, cá, trứng, khoai tây, bông cải trắng…
- Súc miệng ngay sau khi ăn đồ sậm màu để giảm nguy cơ bám màu lên răng.
- Trong 10–14 ngày đầu, tránh đồ ăn quá nóng hoặc quá lạnh để răng nhạy cảm không bị ê buốt.
2. Vệ sinh răng miệng đúng cách
Chăm sóc răng khoa học giúp duy trì kết quả tẩy trắng lâu dài:
- Chải răng nhẹ nhàng 2 lần/ngày bằng bàn chải lông mềm.
- Sử dụng kem đánh răng cho răng nhạy cảm hoặc kem duy trì trắng răng theo hướng dẫn của bác sĩ.

- Dùng chỉ nha khoa sau mỗi bữa ăn để loại bỏ mảng bám ở kẽ răng.
- Kết hợp nước súc miệng chuyên dụng hoặc nước muối sinh lý để khử vi khuẩn, giảm viêm nướu và hơi thở thơm mát.
- Tránh chải răng quá mạnh hoặc bàn chải cứng, vì men răng lúc này còn nhạy cảm.
3. Sử dụng thuốc hoặc gel duy trì trắng răng theo chỉ định
- Sản phẩm duy trì giúp ổn định màu răng, hạn chế tái bám màu.
- Dùng đúng liều lượng và thời gian theo hướng dẫn của bác sĩ YEN DENTAL.
- Tránh các sản phẩm làm trắng trôi nổi, không rõ nguồn gốc.

4. Thăm khám nha khoa định kỳ
Khám răng 6 tháng/lần tại YEN DENTAL giúp:
- Kiểm tra men răng và nướu.
- Làm sạch mảng bám, cao răng.
- Nhận tư vấn duy trì màu răng lâu dài.
Việc theo dõi định kỳ giúp phát hiện sớm vấn đề răng miệng và giữ hàm răng luôn trắng sáng, khỏe mạnh.
Kết luận
Tuân thủ chế độ ăn uống hợp lý, vệ sinh răng miệng khoa học và sự đồng hành của đội ngũ bác sĩ tại YEN DENTAL là chìa khóa để giữ nụ cười trắng sáng lâu dài, hạn chế ê buốt và bảo vệ sức khỏe răng miệng toàn diện.


