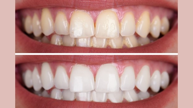
Tẩy trắng răng thẩm mỹ là phương pháp nha khoa hiện đại, giúp loại bỏ các sắc tố nâu, vàng hoặc ố trên men răng và ngà răng, mang lại hàm răng trắng sáng hơn. Phương pháp này không chỉ nâng cao thẩm mỹ mà còn tăng sự tự tin trong giao tiếp, đặc biệt phù hợp với những người thường xuyên gặp gỡ khách hàng hoặc tham gia các sự kiện quan trọng.

Cơ chế thực hiện tại YEN DENTAL
- Thoa gel tẩy trắng: Gel chứa hydrogen peroxide hoặc carbamide peroxide được thoa lên bề mặt răng. Đây là các chất oxy hóa mạnh, có khả năng phá vỡ các liên kết phân tử gây màu trên răng.
- Kích hoạt bằng ánh sáng: Nhiều trung tâm nha khoa hiện đại, bao gồm YEN DENTAL, sử dụng ánh sáng laser hoặc LED để thúc đẩy phản ứng oxy hóa, giúp gel hoạt động hiệu quả hơn.
- Phản ứng hóa học: Các chuỗi phân tử màu bị cắt đứt, loại bỏ vết ố vàng hay nâu, trả lại màu răng tự nhiên, trắng sáng hơn.
- Bảo vệ cấu trúc răng: Men răng và ngà răng vẫn được giữ nguyên, không bị bào mòn hay hư hại nếu quy trình được thực hiện đúng kỹ thuật.
Lưu ý: Tẩy trắng răng không thể làm răng trắng hoàn toàn như răng sứ hoặc veneer. Hiệu quả phụ thuộc vào màu răng ban đầu, mức độ ố vàng và thói quen ăn uống của mỗi người.
Những đối tượng phù hợp với tẩy trắng răng
Tẩy trắng răng thường được chỉ định cho những trường hợp sau:

- Răng xỉn màu, ố vàng: Do vệ sinh răng miệng chưa đúng cách, mảng bám tích tụ lâu ngày.
- Ngả màu do thực phẩm: Người uống nhiều cà phê, trà, nước ngọt, hoặc sử dụng thức ăn có màu đậm, phẩm tạo màu nhân tạo.
- Men răng khỏe mạnh: Răng không bị mài mòn, sâu, viêm nướu hay các bệnh lý nha khoa khác.
- Đủ tuổi trưởng thành: Từ 18 tuổi trở lên, xương hàm và men răng đã phát triển hoàn thiện.
- Sức khỏe ổn định: Không mắc bệnh lý mạn tính hoặc tình trạng sức khỏe không đảm bảo, giúp giảm nguy cơ phản ứng phụ.
Những đối tượng này có thể tẩy trắng răng tại phòng khám YEN DENTAL với hiệu quả tốt, hạn chế ê buốt và rủi ro.
Những trường hợp không nên tẩy trắng răng
Tẩy trắng răng không phù hợp với mọi đối tượng. Một số trường hợp cần tránh:
- Bệnh lý răng miệng: Sâu răng, viêm nha chu, tụt lợi, mòn cổ răng… vì hóa chất tẩy trắng có thể kích thích tủy, làm tình trạng nặng hơn.
- Dị ứng thuốc: Người từng dị ứng với hydrogen peroxide hoặc các thành phần trong gel tẩy trắng.
- Trẻ em dưới 18 tuổi: Răng chưa phát triển hoàn thiện, men răng mỏng, dễ ê buốt, tủy răng dễ tổn thương.
- Phụ nữ mang thai hoặc cho con bú: Thuốc tẩy trắng có thể ảnh hưởng đến thai nhi hoặc trẻ sơ sinh.


