Sâu răng trẻ em – Nguyên nhân, dấu hiệu, biến chứng và phương pháp điều trị toàn diện

Sâu răng ở trẻ em là một trong những bệnh lý răng miệng phổ biến nhất hiện nay, ảnh hưởng trực tiếp đến sức khỏe, sự phát triển thể chất cũng như tâm lý của trẻ. Không chỉ đơn thuần là những “lỗ sâu” trên răng, nếu không được phát hiện và điều trị kịp thời, sâu răng có thể gây viêm tủy, áp xe, nhiễm trùng lan rộng, ảnh hưởng đến răng vĩnh viễn và toàn bộ cấu trúc hàm mặt sau này.

Tại YEN DENTAL, chúng tôi nhận thấy rất nhiều phụ huynh vẫn còn chủ quan với răng sữa của trẻ, cho rằng “răng sữa rồi cũng sẽ thay”. Tuy nhiên, thực tế cho thấy răng sữa giữ vai trò vô cùng quan trọng trong việc ăn nhai, phát âm và định hướng răng vĩnh viễn mọc đúng vị trí.

Bài viết dưới đây sẽ giúp phụ huynh hiểu toàn diện – đúng – đủ về sâu răng trẻ em, từ nguyên nhân, dấu hiệu, mức độ nguy hiểm cho đến các phương pháp điều trị và phòng ngừa hiệu quả.

 

  1. Sâu răng trẻ em là gì?

Sâu răng trẻ em là tình trạng mô cứng của răng (men răng và ngà răng) bị phá hủy do axit được tạo ra từ vi khuẩn trong khoang miệng. Vi khuẩn này sử dụng đường và tinh bột từ thức ăn để sinh axit, làm mòn men răng theo thời gian.

Ở trẻ em, quá trình sâu răng diễn ra nhanh hơn và âm thầm hơn, do:

  • Men răng mỏng
  • Khả năng tự làm sạch răng kém
  • Trẻ chưa có ý thức vệ sinh răng miệng đúng cách

Sâu răng có thể xuất hiện ngay từ khi trẻ mọc chiếc răng sữa đầu tiên, nếu không được chăm sóc đúng cách.

  1. Vì sao trẻ em dễ bị sâu răng hơn người lớn?

So với người trưởng thành, trẻ em có nguy cơ sâu răng cao hơn do nhiều yếu tố:

  • Men răng sữa mỏng và mềm hơn
  • Tuyến nước bọt chưa hoạt động hiệu quả

  • Thói quen ăn vặt nhiều lần trong ngày
  • Thích đồ ngọt, bánh kẹo, nước có đường
  • Chưa hình thành thói quen đánh răng đúng cách

Ngoài ra, nhiều phụ huynh chưa quan tâm đúng mức đến việc đưa trẻ đi khám răng định kỳ, khiến sâu răng chỉ được phát hiện khi đã ở giai đoạn nặng.

  1. Nguyên nhân gây sâu răng ở trẻ em

3.1. Bú sữa bình và bú đêm kéo dài

Sữa (kể cả sữa công thức) đều chứa đường. Khi trẻ bú bình ban đêm:

  • Sữa đọng lại quanh răng
  • Nước bọt tiết ít hơn
  • Vi khuẩn có điều kiện phát triển mạnh

Đây là nguyên nhân phổ biến gây sâu răng sớm ở trẻ nhỏ.

3.2. Chế độ ăn nhiều đường và tinh bột

Các thực phẩm như:

  • Kẹo, bánh, chocolate
  • Nước ngọt, trà sữa, nước ép đóng chai
  • Snack, bánh quy

…đều làm tăng nguy cơ sâu răng, đặc biệt nếu trẻ ăn nhiều lần trong ngày nhưng không súc miệng hoặc đánh răng sau ăn.

3.3. Thiếu fluoride

Fluoride giúp:

  • Tái khoáng men răng
  • Làm răng cứng chắc hơn
  • Ngăn vi khuẩn gây sâu răng

Trẻ không dùng kem đánh răng có fluoride hoặc sống ở khu vực thiếu fluoride trong nguồn nước sẽ dễ bị sâu răng hơn.

3.4. Vệ sinh răng miệng chưa đúng cách

  • Đánh răng không đủ 2 lần/ngày
  • Không làm sạch kẽ răng
  • Không thay bàn chải định kỳ

3.5. Một số bệnh lý toàn thân

Trẻ bị:

  • Viêm mũi, viêm xoang
  • Dị ứng, hen suyễn

…thường phải thở bằng miệng, gây khô miệng – điều kiện thuận lợi cho vi khuẩn phát triển.

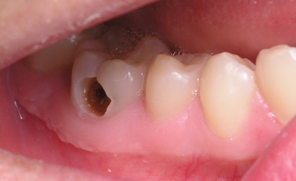
  1. Các giai đoạn phát triển của sâu răng trẻ em

Giai đoạn sớm: Xuất hiện đốm trắng trên men răng

Giai đoạn trung bình: Men răng đổi màu nâu hoặc đen

Giai đoạn nặng: Hình thành lỗ sâu, đau khi ăn nhai

Giai đoạn biến chứng: Viêm tủy, áp xe, sưng mặt, sốt

👉 Việc điều trị ở giai đoạn sớm sẽ nhẹ nhàng – ít tốn kém – ít đau hơn rất nhiều.

  1. Dấu hiệu nhận biết sâu răng ở trẻ em

  • Răng đổi màu, xuất hiện đốm bất thường
  • Trẻ than đau răng hoặc quấy khóc không rõ nguyên nhân
  • Đau khi ăn nóng, lạnh, ngọt
  • Hơi thở có mùi
  • Sưng nướu, sưng mặt
  • Biếng ăn, ngủ kém
  1. Sâu răng trẻ em có nguy hiểm không?

Câu trả lời là .

Nếu không điều trị, sâu răng có thể gây:

  • Viêm tủy răng dữ dội
  • Áp xe, nhiễm trùng lan rộng

  • Ảnh hưởng mầm răng vĩnh viễn
  • Răng vĩnh viễn mọc lệch, sai khớp cắn
  • Trẻ chậm phát triển thể chất do ăn uống kém
  1. Phương pháp điều trị sâu răng ở trẻ em tại YEN DENTAL

7.1. Trám răng

Áp dụng cho sâu răng nhẹ, giúp phục hồi hình dạng và chức năng răng.

7.2. Điều trị tủy răng sữa

Giữ lại răng, tránh nhổ sớm, bảo tồn khoảng cho răng vĩnh viễn.

7.3. Chụp răng thép (Mão SSC)

Bảo vệ răng sâu nặng, kéo dài tuổi thọ răng sữa, phục hồi sức nhai cho trẻ

7.4. Nhổ răng

Chỉ định khi răng không còn khả năng phục hồi.

7.5. Bôi fluoride/SDF

Phòng ngừa và phục hồi men răng giai đoạn sớm.

  1. Chăm sóc trẻ sau điều trị sâu răng
  • Cho trẻ ăn thức ăn mềm
  • Tránh đồ ngọt trong vài ngày
  • Hướng dẫn trẻ đánh răng đúng cách
  • Tái khám theo lịch hẹn
  1. Cách phòng ngừa sâu răng trẻ em hiệu quả lâu dài

  • Đánh răng 2 lần/ngày với kem fluoride
  • Hạn chế đồ ngọt
  • Không bú bình ban đêm
  • Khám răng định kỳ 3–6 tháng/lần
  • Trám bít hố rãnh răng hàm cho trẻ có nguy cơ cao
  1. Khi nào nên đưa trẻ đến nha khoa?

  • Ngay khi mọc răng đầu tiên
  • Khi thấy răng đổi màu
  • Trẻ than đau răng
  • Định kỳ 6 tháng/lần

 

YEN DENTAL – Nha khoa chuyên sâu chăm sóc răng trẻ em

Đội ngũ bác sĩ tận tâm – kỹ thuật nhẹ nhàng – môi trường thân thiện giúp trẻ điều trị không sợ đau, không ám ảnh.