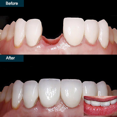
Cấy Ghép Nha Khoa (Implant) – Giải Pháp Phục Hồi Răng Tối Ưu Tại YEN DENTAL

Cấy ghép nha khoa (Implant) là phương pháp phục hình răng hiện đại và tiên tiến nhất hiện nay, giúp thay thế răng đã mất một cách toàn diện cả về thẩm mỹ – chức năng ăn nhai – độ bền lâu dài.

Với Implant, khách hàng có thể ăn nhai, giao tiếp, cười nói tự nhiên mà không còn lo lắng về tình trạng răng giả lỏng lẻo hay bất tiện như các giải pháp tạm thời trước đây.

Tại YEN DENTAL, cấy ghép Implant được thực hiện theo quy trình chuẩn y khoa, ứng dụng công nghệ hiện đại nhằm mang lại trải nghiệm an toàn, nhẹ nhàng và hiệu quả tối ưu cho khách hàng.

Lịch sử và công nghệ cấy ghép Implant

  • Implant nha khoa được phát minh vào năm 1952 bởi nhà phẫu thuật người Thụy Điển Per-Ingvar Brånemark, mở ra kỷ nguyên mới cho ngành phục hình răng.
  • Ngày nay, Implant được xem là tiêu chuẩn vàng trong điều trị mất răng trên toàn thế giới.
  • Hầu hết các trụ Implant đều được làm từ Titanium y sinh học, có khả năng tích hợp hoàn hảo với xương hàm mà không gây đào thải.
  • Nhờ sự phát triển của công nghệ chẩn đoán và kỹ thuật cấy ghép, tỷ lệ thành công của Implant hiện nay đạt trên 98% khi được thực hiện bởi bác sĩ chuyên môn cao.

👉 Tại YEN DENTAL, hệ thống chụp phim CT Cone Beam 3D giúp đánh giá chính xác cấu trúc xương hàm, từ đó lập kế hoạch cấy ghép Implant an toàn và cá nhân hóa cho từng khách hàng.

Cấu tạo và cơ chế hoạt động của Implant

  • Trụ Implant là gốc răng nhân tạo hình vít, được cấy trực tiếp vào xương hàm tại vị trí răng đã mất.
  • Sau một thời gian, trụ Implant sẽ tích hợp vững chắc với xương hàm, đóng vai trò như chân răng thật.
  • Mão răng sứ được gắn lên trên Implant, được thiết kế riêng về hình dáng, màu sắc và kích thước, đảm bảo hài hòa với răng thật.

 

Nhờ cơ chế này, Implant không chỉ phục hồi răng đã mất mà còn:

  • Duy trì lực nhai sinh lý
  • Ngăn ngừa tiêu xương hàm
  • Bảo vệ các răng thật lân cận và khớp cắn
  • Giữ cấu trúc khuôn mặt ổn định, trẻ trung

Lợi ích vượt trội của cấy ghép nha khoa Implant

 

Khôi phục chức năng nhai hoàn chỉnh

  • Ăn uống thoải mái từ thức ăn mềm đến cứng như thịt, bánh mì, trái cây, rau củ
  • Cải thiện tiêu hóa và chế độ dinh dưỡng

Thẩm mỹ tự nhiên – tăng sự tự tin

  • Răng Implant có hình dáng và màu sắc giống răng thật

  • Không lộ dấu hiệu răng giả, giúp khách hàng tự tin giao tiếp, cười nói

 

Ổn định lâu dài – an toàn

  • Implant tích hợp trực tiếp với xương, không xâm lấn răng kế cận
  • Sử dụng bền vững nhiều năm, thậm chí gần như trọn đời nếu chăm sóc đúng cách

Dễ dàng chăm sóc

  • Vệ sinh như răng thật
  • Không cần tháo lắp hay bảo quản phức tạp

👉 Đây chính là lý do ngày càng nhiều khách hàng lựa chọn cấy ghép Implant tại YEN DENTAL thay vì các phương pháp truyền thống.

Quy trình cấy ghép Implant tại YEN DENTAL

Bước 1: Khám và tư vấn

  • Chụp X-quang/CT 3D

 

  • Đánh giá xương hàm, nướu và sức khỏe tổng quát
  • Lập phác đồ điều trị phù hợp từng trường hợp

Bước 2: Gây tê và phẫu thuật

  • Thực hiện gây tê cục bộ
  • Cấy trụ Implant qua một đường rạch nhỏ trên nướu

 

  • Quy trình nhẹ nhàng, ít xâm lấn

Bước 3: Hồi phục và phục hình

  • Thời gian tích hợp xương từ vài tuần đến vài tháng
  • Gắn mão răng sứ cố định khi trụ Implant ổn định hoàn toàn

Cảm giác đau nhức sau khi cấy ghép Implant

  • Trong quá trình cấy ghép: hầu như không đau, chỉ có cảm giác ê nhẹ
  • Sau phẫu thuật: có thể sưng hoặc ê nhẹ vài ngày, đây là phản ứng bình thường
  • Tình trạng này sẽ giảm nhanh nếu tuân thủ đúng hướng dẫn chăm sóc của bác sĩ

Chăm sóc sau cấy ghép:

  • Ăn thức ăn mềm
  • Súc miệng nước muối ấm
  • Nghỉ ngơi hợp lý, tránh vận động mạnh
  • Uống thuốc theo chỉ định của bác sĩ tại YEN DENTAL

Những lưu ý quan trọng sau cấy ghép Implant

  • Sinh hoạt nhẹ nhàng trong những ngày đầu
  • Không hút thuốc lá, hạn chế rượu bia
  • Tái khám đúng lịch hẹn
  • Liên hệ ngay bác sĩ nếu có dấu hiệu bất thường như đau nhiều, sưng kéo dài

Kết luận

Cấy ghép nha khoa Implant là giải pháp phục hồi răng an toàn – hiện đại – hiệu quả, mang lại:

  • Thẩm mỹ tự nhiên

  • Chức năng ăn nhai hoàn chỉnh
  • Tuổi thọ lâu dài
  • Cải thiện chất lượng cuộc sống rõ rệt

Với đội ngũ bác sĩ giàu kinh nghiệm, chuyên sâu Implant, cùng hệ thống công nghệ hiện đại, YEN DENTAL cam kết mang đến kết quả điều trị tối ưu và sự hài lòng lâu dài cho khách hàng.

👉 Liên hệ YEN DENTAL ngay hôm nay để được tư vấn miễn phí và xây dựng phác đồ Implant phù hợp cho bạn.

 

Trồng Răng Implant – Khoản Đầu Tư Bền Vững Cho Sức Khỏe, Thẩm Mỹ Và Chất Lượng Cuộc Sống

Trong cuộc sống hiện đại, sức khỏe răng miệng và ngoại hình giữ vai trò quan trọng trong giao tiếp, công việc và chất lượng sống. Mất răng không chỉ gây mất thẩm mỹ, giảm khả năng ăn nhai mà còn dẫn đến tiêu xương hàm, lệch khớp cắn và lão hóa khuôn mặt sớm nếu không được điều trị kịp thời.

Chính vì vậy, trồng răng Implant ngày càng được đánh giá là khoản đầu tư thông minh và bền vững, đặc biệt khi được thực hiện tại những nha khoa chuyên sâu về Implant như YEN DENTAL.

 

1. Trồng răng Implant là gì?

Trồng răng Implant là phương pháp phục hình răng hiện đại, trong đó:

  • Trụ Implant bằng titanium được cấy trực tiếp vào xương hàm tại vị trí răng đã mất
  • Sau khi trụ tích hợp vững chắc với xương, mão răng sứ sẽ được gắn lên trên, tái tạo hoàn chỉnh cả chân răng và thân răng

 

👉 Cấu trúc này giúp răng Implant hoạt động gần như răng thật, cả về thẩm mỹ lẫn chức năng ăn nhai.

Ưu điểm nổi bật của trồng răng Implant

  • Không xâm lấn răng kế cận, bảo tồn răng thật tối đa
  • Ngăn ngừa tiêu xương hàm – nguyên nhân gây hóp má, già trước tuổi
  • Vật liệu Implant lành tính, tương hợp sinh học, an toàn với cơ thể
  • Phục hồi khả năng ăn nhai chắc chắn, ổn định lâu dài

Tại YEN DENTAL, quy trình trồng răng Implant được thực hiện theo phác đồ cá nhân hóa, đảm bảo an toàn, chính xác và hiệu quả lâu dài cho từng khách hàng.

2. Vì sao trồng răng Implant là khoản đầu tư bền vững?

a. Tuổi thọ cao – đầu tư cho tương lai

So với các phương pháp phục hình khác:

  • Hàm giả tháo lắp: dễ lỏng, nhanh xuống cấp
  • Cầu răng sứ: tuổi thọ trung bình khoảng 10–15 năm, phải mài răng kế cận
  • Răng Implant: có thể sử dụng trên 20 năm hoặc gần như trọn đời nếu chăm sóc đúng cách

👉 Thực tế lâm sàng tại YEN DENTAL cho thấy nhiều ca Implant vẫn hoạt động ổn định sau nhiều năm, giúp khách hàng giảm tối đa chi phí sửa chữa và thay thế về sau.

b. Độ bền và khả năng chịu lực vượt trội

Nhờ trụ Implant tích hợp trực tiếp vào xương hàm:

  • Lực nhai được phân bố đều như răng thật
  • Khả năng chịu lực cao, hạn chế gãy vỡ mão răng

Khách hàng trồng Implant tại YEN DENTAL có thể:

  • Ăn nhai thoải mái, kể cả thực phẩm dai hoặc cứng

  • Không lo lỏng răng, lệch răng khi sử dụng lâu dài
  • An tâm về độ ổn định và bền vững của phục hình

c. Nâng cao sự tự tin và chất lượng cuộc sống

Một hàm răng khỏe mạnh mang lại giá trị vượt xa yếu tố thẩm mỹ:

  • Phát âm rõ ràng, giao tiếp tự nhiên
  • Không còn lo rơi rớt như hàm giả tháo lắp
  • Chỉ cần 3–6 tháng điều trị, có thể sử dụng răng ổn định lâu dài

👉 Implant tại YEN DENTAL giúp khách hàng ăn ngon hơn – cười tự tin hơn – sống thoải mái hơn mỗi ngày.

d. Ngăn ngừa tiêu xương & duy trì cấu trúc khuôn mặt

Mất răng lâu ngày có thể gây:

  • Tiêu xương hàm
  • Xô lệch răng, sai khớp cắn
  • Hóp má, chảy xệ, khuôn mặt già hơn tuổi
  • Tăng nguy cơ viêm nha chu, viêm nướu

Trồng răng Implant tại YEN DENTAL giúp:

  • Kích thích xương hàm phát triển tự nhiên
  • Giữ khuôn mặt cân đối, trẻ trung
  • Bảo vệ sức khỏe răng miệng toàn diện về lâu dài

e. Tiết kiệm chi phí và thời gian về lâu dài

Mặc dù chi phí ban đầu cao hơn cầu răng hoặc hàm giả, nhưng xét trên giá trị sử dụng:

  • Không cần thay răng nhiều lần
  • Giảm số lần tái khám, chỉnh sửa
  • Đầu tư một lần – giá trị sử dụng nhiều năm

👉 Implant là lựa chọn kinh tế và hợp lý khi nhìn ở góc độ dài hạn, đặc biệt khi được thực hiện đúng kỹ thuật tại YEN DENTAL.

3. Kết luận

Trồng răng Implant không chỉ là giải pháp phục hình răng hiện đại, mà còn là khoản đầu tư chiến lược cho sức khỏe, thẩm mỹ và chất lượng cuộc sống.

Những giá trị bền vững Implant mang lại:

  • Tuổi thọ cao, hạn chế chi phí phát sinh
  • Ăn nhai chắc chắn, cảm giác gần như răng thật
  • Tăng sự tự tin trong giao tiếp
  • Ngăn ngừa tiêu xương, lão hóa khuôn mặt
  • Bảo vệ sức khỏe răng miệng lâu dài

👉 Để đạt hiệu quả tối ưu, khách hàng nên lựa chọn YEN DENTAL – nha khoa chuyên sâu về Implant với:

  • Đội ngũ bác sĩ giàu kinh nghiệm
  • Công nghệ chẩn đoán và cấy ghép hiện đại
  • Quy trình điều trị an toàn, cá nhân hóa và bền vững

 

Độ bền của răng Implant và những yếu tố ảnh hưởng

Trồng răng Implant hiện nay được đánh giá là phương pháp phục hình răng có độ bền cao nhất trong nha khoa hiện đại. Theo các chuyên gia, nếu cấy ghép đúng kỹ thuậtchăm sóc đúng cách, răng Implant hoàn toàn có thể sử dụng bền vững hàng chục năm, thậm chí trọn đời.

 

Tuy nhiên, tuổi thọ của răng Implant còn phụ thuộc vào nhiều yếu tố quan trọng dưới đây.

  1. Tay nghề và kinh nghiệm của bác sĩ

Cấy ghép Implant là một thủ thuật nha khoa chuyên sâu, đòi hỏi bác sĩ phải:

  • Có trình độ chuyên môn vững vàng, am hiểu sâu về giải phẫu Răng – Hàm – Mặt và sinh học mô xương và nướu, quá trình lành thương.
  • Giàu kinh nghiệm lâm sàng, đảm bảo đặt trụ Implant chính xác, đúng vị trí, đúng hướng và đạt độ ổn định tối ưu trong xương hàm.

Lập phác đồ điều trị cá nhân hóa, phù hợp với từng trường hợp mất răng, tình trạng xương hàm, sức khỏe tổng quát và nhu cầu phục hình của khách hàng.

 

👉 Bác sĩ giỏi giúp trụ Implant tích hợp xương tốt, hạn chế biến chứng và đảm bảo độ bền lâu dài.

Tại YEN Dental, các ca Implant đều được thực hiện bởi bác sĩ chuyên sâu Implant, kết hợp công nghệ chẩn đoán hình ảnh hiện đại, giúp tăng tỷ lệ thành công và tuổi thọ Implant.

  1. Chế độ chăm sóc răng miệng tại nhà

Răng Implant cần được chăm sóc răng miệng hằng ngày tương tự như răng thật, với mục tiêu kiểm soát mảng bám và duy trì sức khỏe mô quanh Implant:

Vệ sinh răng miệng hằng ngày:

  • Chải răng tối thiểu 2 lần/ngày bằng bàn chải lông mềm và kem đánh răng có fluoride, giúp loại bỏ mảng bám trên mão răng và vùng nướu quanh Implant.
  • Thực hiện kỹ thuật chải răng nhẹ nhàng, có kiểm soát (theo chiều dọc hoặc xoay tròn), tránh tạo lực quá mạnh có thể gây tổn thương mô nướu quanh Implant.

Làm sạch kẽ răng và vùng quanh Implant:

  • Sử dụng chỉ nha khoa, bàn chải kẽ hoặc thiết bị tăm nước để làm sạch các vùng mà bàn chải thông thường khó tiếp cận, đặc biệt là khu vực tiếp giáp giữa mão răng và nướu.
  • Nước súc miệng kháng khuẩn có thể được sử dụng theo hướng dẫn của nha sĩ nhằm hỗ trợ kiểm soát vi khuẩn trong khoang miệng.

👉 Thực hành vệ sinh răng miệng đúng cách và tái khám định kỳ giúp giảm nguy cơ viêm nướu và viêm quanh Implant, từ đó góp phần duy trì chức năng và độ bền lâu dài của răng Implant.

  1. Chế độ dinh dưỡng ảnh hưởng đến độ bền Implant

Sau khi cấy ghép răng Implant, chế độ ăn uống và sinh hoạt có vai trò quan trọng trong quá trình lành thương và tích hợp xương:

  • Tránh nhai trực tiếp lên vùng vừa cấy Implant trong những giờ đầu sau phẫu thuật, nhằm hạn chế tác động lực và giảm nguy cơ chảy máu hoặc ảnh hưởng đến vị trí đặt trụ.
  • Hạn chế các loại thực phẩm quá cứng, dai, quá nóng hoặc quá lạnh, vì có thể gây kích thích mô quanh Implant và làm chậm quá trình hồi phục.
  • Ưu tiên thức ăn mềm, dễ nuốt như cháo, súp, thức ăn xay nhuyễn hoặc sinh tố trong giai đoạn đầu, sau đó tăng dần độ cứng theo hướng dẫn của nha sĩ.

  • Duy trì chế độ dinh dưỡng cân đối, bổ sung đầy đủ protein, vitamin và khoáng chất (bao gồm canxi và vitamin D) nhằm hỗ trợ quá trình lành thương và sức khỏe xương hàm.
  • Hạn chế tối đa thuốc lá, rượu bia và các chất kích thích, vì các yếu tố này đã được chứng minh làm giảm khả năng lành thương, tăng nguy cơ viêm quanh Implant và ảnh hưởng tiêu cực đến sự tích hợp xương, từ đó làm tăng nguy cơ thất bại Implant.
  1. Khám và theo dõi định kỳ

Để đảm bảo răng Implant luôn bền chắc, khách hàng cần:

  • Tái khám định kỳ 6 tháng/lần tại nha khoa để:
    • Vệ sinh răng miệng chuyên sâu
    • Loại bỏ mảng bám, cao răng quanh Implant
    • Kiểm tra độ ổn định của trụ và mão sứ
  • Chủ động đến nha khoa ngay nếu xuất hiện các dấu hiệu bất thường như:
    • Chảy máu nướu
    • Sưng, viêm quanh Implant
    • Cảm giác lung lay, đau nhức kéo dài

👉 Phát hiện sớm giúp xử lý kịp thời, tránh ảnh hưởng đến tuổi thọ Implant.

Răng Implant có thể bền trọn đời nếu làm đúng cách

Tóm lại, độ bền của răng Implant phụ thuộc vào:

  • Tay nghề bác sĩ
  • Chế độ chăm sóc tại nhà
  • Dinh dưỡng hợp lý
  • Khám và theo dõi định kỳ

Khi được thực hiện đúng quy trình và chăm sóc tốt, răng Implant không chỉ bền chắc mà còn mang lại cảm giác ăn nhai, thẩm mỹ như răng thật.

👉 Để được tư vấn chi tiết về trồng răng Implant và giải pháp phù hợp, hãy liên hệ YEN Dental – nơi quy tụ đội ngũ bác sĩ Implant giàu kinh nghiệm, cam kết an toàn và hiệu quả lâu dài.

Ai nên trồng răng Implant? Đối tượng phù hợp và những trường hợp cần lưu ý

Trồng răng Implant hiện được xem là giải pháp phục hình răng mất tối ưu nhất hiện nay, giúp khôi phục cả chức năng ăn nhai lẫn thẩm mỹ như răng thật. Tuy nhiên, không phải ai cũng hiểu rõ mình có phù hợp để trồng Implant hay không.

Theo các bác sĩ chuyên khoa tại YEN Dental, phương pháp Implant có thể áp dụng cho hầu hết các trường hợp mất răng, cụ thể như sau:

Những trường hợp nên trồng răng Implant

  1. Mất một hoặc vài răng xen kẽ
  • Trụ Implant được cấy trực tiếp vào vị trí răng mất.
  • Khôi phục khả năng ăn nhai gần như răng thật.
  • Không xâm lấn răng kế cận, đảm bảo thẩm mỹ và tuổi thọ lâu dài.

 

👉 Phù hợp với người mất răng do sâu răng, chấn thương hoặc nhổ răng bắt buộc.

  1. Mất 2 răng liền nhau
  • Thông thường, bác sĩ sẽ cấy 2 trụ Implant riêng biệt và phục hình 2 răng sứ phía trên.
  1. Mất nhiều răng liên tiếp
  • Bác sĩ sẽ tính toán số lượng trụ Implant phù hợp, thường ít hơn số răng mất.
  • Kết hợp cầu răng sứ trên Implant.
  • Cần đánh giá kỹ lực nhai để đảm bảo trụ Implant ổn định lâu dài.

 

 

👉 Phù hợp với người mất răng lâu năm nhưng xương hàm vẫn còn khả năng phục hồi.

  1. Mất toàn bộ răng (mất răng toàn hàm)
  • Implant toàn hàm (All-on-4, All-on-6) là giải pháp tối ưu nhất so với hàm giả tháo lắp.
  • Hàm phủ trên implant (hàm tháo lắp trên implant)
  • Số lượng trụ từ 4–6 trụ mỗi hàm, tùy tình trạng xương hàm.

 

Những trường hợp cần thận trọng khi trồng răng Implant

Không phải chống chỉ định hoàn toàn, nhưng cần được bác sĩ thăm khám kỹ và kiểm soát tốt trước khi thực hiện:

  • Nghiến răng, siết chặt răng khi ngủ → nên sử dụng máng chống nghiến.
  • Bệnh mãn tính (tiểu đường, tim mạch) → cần kiểm soát ổn định.
  • Hút thuốc lá, rượu bia → nên kiêng:
    • 2–4 tuần trước khi cấy Implant
    • 4–6 tuần sau khi cấy
  • Mất răng lâu năm, tiêu xương hàm nhiều → có thể cần phải ghép xương trước hoặc ghép xương kết hợp với cấy ghép implant đồng thời.

  • Bệnh lý răng miệng (viêm nướu, viêm nha chu, áp xe răng) → phải điều trị triệt để trước khi trồng Implant.

Những trường hợp KHÔNG nên trồng răng Implant

Các trường hợp chống chỉ định tuyệt đối bao gồm:

  • Trẻ em dưới 18 tuổi (xương hàm chưa phát triển hoàn chỉnh).
  • Phụ nữ đang mang thai (cần chụp X-quang, gây tê và dùng thuốc).
  • Bệnh tim mạch nặng: suy tim, nhồi máu cơ tim, bệnh van tim.
  • Người rối loạn tâm thần, không kiểm soát được hành vi.

Trồng răng Implant an toàn tại YEN Dental

Tại YEN Dental, khách hàng sẽ được:

  • Thăm khám – chụp phim CT 3D kỹ lưỡng
  • Đánh giá chính xác tình trạng xương hàm
  • Lập phác đồ điều trị cá nhân hóa
  • Thực hiện bởi bác sĩ chuyên sâu Implant, đảm bảo an toàn và hiệu quả lâu dài

 

 

Ai mất răng cũng có thể cấy ghép răng Implant không?

Nhiều khách hàng thắc mắc mất răng có trồng Implant được không và liệu phương pháp này có áp dụng cho tất cả mọi người hay không.
Thực tế, phần lớn các trường hợp mất răng đều có thể cấy ghép Implant, kể cả người lớn tuổi. Tuy nhiên, chỉ định Implant còn phụ thuộc vào tình trạng sức khỏe tổng quát, xương hàm và thói quen sinh hoạt của từng người.

Vì vậy, việc thăm khám trực tiếp với bác sĩ chuyên khoa Implant là yếu tố bắt buộc để đánh giá chính xác và xây dựng phác đồ điều trị phù hợp.

1. Tuổi tác có ảnh hưởng đến việc trồng răng Implant không?

Tuổi cao không phải là chống chỉ định tuyệt đối đối với cấy ghép Implant.

  • Người lớn tuổi vẫn có thể trồng răng Implant nếu:
    • Sức khỏe tổng quát ổn định
    • Không mắc các bệnh mãn tính nghiêm trọng chưa được kiểm soát
  • Thực tế, nhiều ca Implant đã được thực hiện thành công cho khách hàng trên 70 tuổi

👉 Yếu tố quyết định không nằm ở tuổi tác, mà là tình trạng sức khỏe toàn thân và khả năng lành thương của cơ thể.

2. Người mắc bệnh mãn tính có trồng Implant được không?

Tiểu đường

  • Tiểu đường nặng làm giảm sức đề kháng, tăng nguy cơ nhiễm trùng và chậm lành thương
  • Tuy nhiên, bệnh nhân tiểu đường vẫn có thể trồng Implant nếu:
    • Đường huyết được kiểm soát ổn định
    • Tuân thủ dùng thuốc và hướng dẫn của bác sĩ
    • Có chỉ định kháng sinh phòng ngừa phù hợp

Bệnh tim mạch

  • Một số bệnh tim mạch có thể ảnh hưởng đến quá trình gây tê hoặc tiểu phẫu
  • Trường hợp đang dùng thuốc chống đông máu (sau đặt stent, phẫu thuật tim…) cần được:
    • Đánh giá kỹ tiền sử bệnh
    • Phối hợp giữa bác sĩ nha khoa và bác sĩ tim mạch

👉 Khi được kiểm soát tốt, nhiều bệnh nhân tim mạch vẫn cấy ghép Implant an toàn.

3. Người hút thuốc lá có cấy ghép Implant được không?

Hút thuốc lá là yếu tố làm giảm tỷ lệ thành công của Implant do:

  • Giảm lượng máu nuôi trụ Implant
  • Làm chậm quá trình tích hợp xương
  • Tăng nguy cơ viêm quanh Implant

Những người hút trên 10 điếu/ngày được xem là nghiện nặng và có nguy cơ thất bại cao hơn.

👉 Để tăng tỷ lệ thành công, bác sĩ khuyến cáo:

  • Giảm hoặc ngưng hút thuốc trước và sau cấy ghép Implant
  • Tuân thủ nghiêm ngặt hướng dẫn chăm sóc sau điều trị

4. Người bị bệnh nha chu có trồng Implant được không?

Bệnh nha chu là nguyên nhân phổ biến gây:

  • Tiêu xương ổ răng
  • Lung lay răng
  • Mất răng toàn hàm, đặc biệt ở người trung niên và cao tuổi

Khi trồng Implant cho bệnh nhân nha chu cần lưu ý:

  • Vi khuẩn gây nha chu phải được điều trị và kiểm soát triệt để
  • Vệ sinh răng miệng kỹ lưỡng, tái khám định kỳ
  • Hạn chế làm cầu răng dài vì khó vệ sinh, dễ tái viêm
  • Trong nhiều trường hợp cần ghép xương bổ sung để đảm bảo trụ Implant tích hợp tốt

👉 Nếu điều trị nha chu đúng cách, bệnh nhân vẫn có thể cấy ghép Implant an toàn và bền vững.

5. Tiến bộ y học giúp mở rộng chỉ định cấy ghép Implant

Nhờ sự phát triển của công nghệ nha khoa hiện đại, ngày nay Implant có thể áp dụng cho nhiều trường hợp phức tạp hơn:

  • CT Cone Beam 3D giúp đánh giá chính xác cấu trúc xương hàm
  • Cải tiến thiết kế trụ Implant giúp:
    • Tăng độ ổn định ban đầu
    • Rút ngắn thời gian tích hợp xương

  • Vật liệu Implant sinh học cao cấp giúp:
    • Tích hợp xương nhanh
    • Giảm nguy cơ đào thải

👉 Nhìn chung, nếu bệnh nhân có thể nhổ răng an toàn thì khả năng cấy ghép Implant là rất cao.

Kết luận

Không phải ai mất răng cũng cấy ghép Implant ngay được, nhưng phần lớn các trường hợp đều có thể thực hiện Implant nếu được thăm khám và đánh giá đúng chuyên môn.

Thành công của ca cấy ghép phụ thuộc vào:

  • Sức khỏe tổng quát
  • Tình trạng xương hàm và nướu
  • Thói quen sinh hoạt
  • Tay nghề bác sĩ và công nghệ hỗ trợ

👉 Tại YEN Dental, khách hàng được:

  • Thăm khám kỹ lưỡng bằng CT Cone Beam 3D
  • Đánh giá đầy đủ yếu tố sức khỏe
  • Lập phác đồ cấy ghép Implant cá nhân hóa, an toàn và hiệu quả lâu dài

 

Những yếu tố quyết định thành công của ca tiểu phẫu cấy ghép răng Implant

Cấy ghép răng Implant là phương pháp phục hình răng mất hiện đại và có tỷ lệ thành công rất cao nếu được thực hiện đúng chỉ định và kỹ thuật. Tuy nhiên, trên thực tế vẫn tồn tại một số trường hợp Implant thất bại hoặc phát sinh biến chứng ngoài mong muốn.

Điều này cho thấy, thành công của một ca tiểu phẫu Implant không chỉ phụ thuộc vào việc đặt trụ, mà là sự tổng hòa của nhiều yếu tố quan trọng từ trước – trong – và sau điều trị.

Dưới đây là những yếu tố then chốt quyết định hiệu quả và độ bền lâu dài của răng Implant.

  1. Tình trạng răng miệng và sức khỏe tổng quát của khách hàng

Chất lượng xương và thể tích xương hàm

Xương hàm đóng vai trò nền tảng nâng đỡ và giữ vững trụ Implant. Để Implant tích hợp tốt và tồn tại bền lâu, xương hàm cần đáp ứng các điều kiện:

  • Mật độ xương đủ tốt
  • Đủ chiều cao và bề rộng xương
  • Không bị tiêu xương nghiêm trọng

 

👉 Với các trường hợp mất răng lâu năm gây tiêu xương, bác sĩ sẽ chỉ định ghép xương trước hoặc ghép xương & cấy implant đồng thời hoặc lựa chọn các kỹ thuật Implant phù hợp (như Implant chân bướm, implant gò má, All-on-X…).

Sức khỏe toàn thân và bệnh lý răng miệng

  • Khách hàng mắc các bệnh mãn tính như tiểu đường, tim mạch, huyết áp vẫn có thể trồng răng Implant nếu bệnh lý được kiểm soát ổn định.
  • Các bệnh lý răng miệng như:
    • Viêm nướu
    • Viêm nha chu
    • Áp xe răng
      👉 Cần được điều trị triệt để trước khi cấy ghép để tránh nguy cơ nhiễm trùng và thất bại Implant.
  1. Trang thiết bị và điều kiện vô trùng của phòng khám

Một ca cấy ghép Implant an toàn và thành công đòi hỏi phòng khám phải đáp ứng tiêu chuẩn y khoa nghiêm ngặt, bao gồm:

  • Trang thiết bị hiện đại, hỗ trợ chẩn đoán chính xác (CT Cone Beam 3D, phần mềm mô phỏng Implant…)

 

  • Phòng phẫu thuật vô trùng tuyệt đối, giảm thiểu nguy cơ nhiễm trùng và lây nhiễm chéo
  • Phòng LAB đạt chuẩn, với đội ngũ kỹ thuật viên tay nghề cao, đảm bảo:
    • Phục hình răng sứ chính xác
    • Đúng khớp cắn
    • Đảm bảo yếu tố sinh học – cơ học lâu dài

👉 Đây là yếu tố quan trọng nhưng thường bị khách hàng bỏ qua khi lựa chọn nơi trồng răng Implant.

  1. Trình độ và kinh nghiệm của bác sĩ cấy ghép Implant

Bác sĩ chính là yếu tố quyết định trực tiếp đến sự thành công của ca tiểu phẫu Implant. Một bác sĩ chuyên sâu về Implant cần có khả năng:

  • Đánh giá chính xác tình trạng răng miệng và sức khỏe tổng quát
  • Lập kế hoạch điều trị chi tiết, loại trừ các yếu tố nguy cơ
  • Đánh giá đúng chất lượng xương hàm, chỉ định ghép xương, ghép nướu hoặc kỹ thuật Implant phù hợp
  • Xác định chính xác:
    • Số lượng trụ Implant
    • Kích thước trụ
    • Vị trí và hướng đặt trụ
  • Thực hiện cấy ghép:
    • Đúng trục
    • Đúng độ sâu
    • Đảm bảo Implant tích hợp bền vững với xương hàm

 

Ngoài ra, bác sĩ còn phải đảm bảo độ sát khít của phục hình trên Implant, hạn chế các biến chứng như:

  • Viêm quanh Implant
  • Lỏng/ gãy ốc
  • Mẻ, vỡ mão sứ
  • Nhồi nhét thức ăn gây hôi miệng

 

  1. Chế độ chăm sóc sau khi cấy ghép Implant

Sau khi cấy ghép, sự hợp tác của khách hàng đóng vai trò quan trọng không kém:

  • Vệ sinh răng miệng đúng cách theo hướng dẫn
  • Sử dụng thuốc đúng chỉ định
  • Hạn chế hoặc ngưng hút thuốc lá, rượu bia
  • Tái khám định kỳ để bác sĩ theo dõi quá trình tích hợp Implant

⚠️ Nếu chăm sóc không đúng cách, nguy cơ viêm nhiễm và đào thải trụ Implant sẽ tăng cao, ảnh hưởng trực tiếp đến tuổi thọ răng.

Kết luận

Thành công của một ca tiểu phẫu cấy ghép Implant là sự kết hợp của nhiều yếu tố:

  • Tay nghề và kinh nghiệm của bác sĩ Implant
  • Tình trạng sức khỏe và xương hàm/nướu của khách hàng
  • Trang thiết bị và điều kiện vô trùng của nha khoa
  • Chế độ chăm sóc sau điều trị

Khi tất cả các yếu tố này được đảm bảo, răng Implant không chỉ tích hợp tốt mà còn bền vững lâu dài, ăn nhai chắc chắn và thẩm mỹ như răng thật.

👉 Tại YEN Dental, mỗi ca Implant đều được thăm khám kỹ lưỡng, lập phác đồ cá nhân hóa và thực hiện bởi bác sĩ chuyên sâu Implant, giúp tối ưu an toàn và hiệu quả lâu dài cho khách hàng.

Thời Điểm Cấy Ghép Implant Sau Nhổ Răng – Ưu Nhược Điểm & Chỉ Định Tại YEN DENTAL

Cấy ghép Implant là giải pháp tối ưu để phục hồi răng đã mất. Tuy nhiên, thời điểm đặt Implant sau nhổ răng có ảnh hưởng trực tiếp đến tỷ lệ thành công, độ bền, thẩm mỹ nướu – xương và thời gian điều trị.

Tại YEN DENTAL, bác sĩ không áp dụng một mốc thời gian cố định cho tất cả khách hàng, mà sẽ đánh giá cá nhân hóa dựa trên tình trạng ổ răng, xương hàm và mô nướu để lựa chọn thời điểm cấy ghép Implant phù hợp nhất.

 

Dưới đây là 4 thời điểm cấy ghép Implant phổ biến, kèm ưu – nhược điểm và chỉ định cụ thể.

1. Cấy Implant tức thì (Ngay sau nhổ răng)

Đặc điểm:
Trụ Implant được đặt ngay trong ổ răng vừa nhổ trong cùng một lần điều trị.

Ưu điểm

  • Rút ngắn đáng kể tổng thời gian điều trị
  • Giảm số lần phẫu thuật, ít đau và ít sưng
  • Hạn chế tiêu xương ổ răng & giúp bảo tồn thẩm mỹ tối
  • Tiết kiệm chi phí do giảm can thiệp trung gian

Hạn chế

Chỉ áp dụng khi điều kiện giải phẫu đủ tốt, bao gồm:

  • Thành xương mặt ngoài nguyên vẹn hoặc tiêu xương không quá nhiều
  • Mô nướu dày, săn chắc
  • Thể tích nền xương còn lại đủ để đặt Implant tức thì
  • Không có nhiễm trùng – chảy mủ tại vùng nhổ răng

Chỉ định

  • Răng nhổ sạch, không viêm nhiễm
  • Khách hàng có sức khỏe răng miệng tốt
  • Cần được thực hiện bởi bác sĩ Implant giàu kinh nghiệm

👉 Tại YEN DENTAL, cấy Implant tức thì chỉ được chỉ định sau khi đánh giá kỹ bằng CT Cone Beam 3D nhằm đảm bảo an toàn và thẩm mỹ lâu dài.

2. Cấy Implant sau 1 – 2 tháng

Đặc điểm:
Đây được xem là thời điểm “vàng” và an toàn nhất, khi mô mềm đã lành và nhiễm trùng (nếu có) đã được kiểm soát.

Ưu điểm

  • Ổ răng đã lành, thuận lợi cho đóng vết thương
  • Giảm nguy cơ nhiễm trùng cấp và mãn tính
  • Thẩm mỹ nướu ổn định, ít nguy cơ tụt nướu
  • Dễ kết hợp ghép xương nếu cần

Hạn chế

  • Thời gian điều trị dài hơn so với cấy tức thì

Chỉ định

  • Răng từng nhiễm trùng
  • Có tiêu xương mức độ nhẹ – trung bình
  • Mô nướu mỏng, nguy cơ tụt nướu cao
  • Cần ghép xương bổ sung

👉 Đây là thời điểm cấy ghép Implant được áp dụng nhiều tại YEN DENTAL, nhờ sự cân bằng tối ưu giữa an toàn – thẩm mỹ – độ bền.

3. Cấy Implant sau 3 – 4 tháng

Đặc điểm:
Áp dụng cho các trường hợp ổ răng tổn thương rộng hoặc chân răng lớn.

Ưu điểm

  • Xương ổ răng đã bắt đầu tái tạo
  • Mô mềm lành hoàn toàn
  • Dễ kiểm soát nhiễm trùng
  • Tạo nền tảng vững chắc cho Implant

Hạn chế

  • Thời gian điều trị kéo dài
  • Có thể cần ghép xương phức tạp hơn

Chỉ định

  • Nhiễm trùng lan rộng
  • Tiêu xương nhiều
  • Thành xương mỏng hoặc thiếu thể tích xương, không đủ điều kiện cấy sớm

4. Cấy Implant sau 6 tháng hoặc muộn hơn

Đặc điểm:
Là thời điểm muộn, khi xương ổ răng đã trải qua quá trình tiêu xương đáng kể.

Ưu điểm

  • Vẫn có thể phục hồi răng bằng Implant nếu được xử lý đúng kỹ thuật

Hạn chế

  • Tiêu xương nhiều (nghiên cứu Schrop 2005 cho thấy ~50% xương mặt ngoài bị tiêu sau 6 tháng)
  • Thường phải ghép xương nhiều, kỹ thuật phức tạp
  • Thời gian và chi phí điều trị cao hơn

Chỉ định

  • Khách hàng không thể cấy Implant trong 6 tháng đầu
  • Cần bác sĩ chuyên sâu Implant để lựa chọn:
    • Loại trụ phù hợp
    • Kỹ thuật ghép xương
    • Vật liệu sinh học an toàn

👉 Tại YEN DENTAL, các ca cấy Implant muộn được lên kế hoạch kỹ lưỡng nhằm khôi phục tối đa thể tích xương và đảm bảo tỷ lệ thành công lâu dài.

Thời gian cấy ghép răng Implant mất bao lâu?

Cấy ghép Implant mất bao lâu? là thắc mắc phổ biến của nhiều khách hàng khi cân nhắc lựa chọn phương pháp này để phục hồi răng đã mất. Việc nắm rõ thời gian điều trị Implant không chỉ giúp khách hàng chủ động sắp xếp công việc, sinh hoạt mà còn an tâm hơn trong suốt quá trình trồng răng.

Trên thực tế, thời gian cấy ghép Implant không giống nhau ở mỗi người, mà phụ thuộc vào nhiều yếu tố như tình trạng răng miệng, chất lượng xương hàm, tay nghề bác sĩ và công nghệ áp dụng.

Các yếu tố ảnh hưởng đến thời gian cấy ghép Implant

  1. Tình trạng răng miệng của khách hàng
  • Khách hàng mất nhiều răng, cần cấy nhiều trụ Implant sẽ mất nhiều thời gian hơn so với trường hợp mất ít răng.
  • Trường hợp tiêu xương hàm, cần ghép xương hoặc nâng xoang, phải chờ xương lành trước khi đặt Implant, khiến tổng thời gian điều trị kéo dài hơn.
  • Nếu đang mắc các bệnh lý răng miệng như viêm nướu, viêm nha chu, áp xe răng…, cần điều trị dứt điểm trước khi cấy ghép Implant để tránh biến chứng.

👉 Tình trạng răng miệng càng ổn định, thời gian điều trị càng được rút ngắn.

  1. Tay nghề và kinh nghiệm của bác sĩ

Cấy ghép Implant là kỹ thuật tương đối phức tạp trong nha khoa, đòi hỏi bác sĩ phải:

  • Có chuyên môn sâu về Implant
  • Giàu kinh nghiệm lâm sàng
  • Thực hiện chính xác từng thao tác phẫu thuật

👉 Bác sĩ Implant giỏi giúp ca cấy ghép diễn ra nhanh chóng, an toàn, hạn chế biến chứng và tối ưu thời gian điều trị cho khách hàng.

 

  1. Công nghệ cấy ghép Implant

Việc ứng dụng công nghệ hiện đại giúp rút ngắn đáng kể thời gian cấy ghép Implant, bao gồm:

  • Chụp CT Cone Beam 3D đánh giá chính xác cấu trúc xương hàm
  • Phần mềm lập kế hoạch cấy ghép Implant
  • Hướng dẫn phẫu thuật Implant kỹ thuật số

 

Nhờ đó, bác sĩ xác định chính xác vị trí, hướng và độ sâu đặt trụ Implant, giảm thời gian phẫu thuật, thời gian chờ răng và tăng tỷ lệ thành công.

  1. Loại trụ Implant sử dụng

Mỗi loại trụ Implant có khả năng tích hợp xương và thời gian lành thương khác nhau, phụ thuộc vào:

  • Chất lượng xương hàm
  • Cơ địa từng người
  • Nhu cầu phục hình và khả năng tài chính

👉 Lựa chọn trụ Implant chất lượng cao giúp tích hợp xương nhanh, bền vững, từ đó rút ngắn thời gian điều trị tổng thể.

Thời gian cấy ghép Implant trung bình là bao lâu?

Thông thường, quy trình trồng răng Implant gồm các mốc thời gian sau:

  • Thời gian đặt 1 trụ Implant: khoảng 15 – 30 phút
  • Thời gian chờ trụ tích hợp xương: khoảng 3 – 6 tháng
  • Sau khi trụ Implant tích hợp ổn định với xương hàm, bác sĩ sẽ tiến hành gắn răng sứ cố định lên trên

👉 Để biết thời gian chính xác cho từng trường hợp, khách hàng cần được thăm khám và chẩn đoán trực tiếp bởi bác sĩ chuyên khoa Implant.

Cách rút ngắn thời gian cấy ghép Implant

Cấy ghép Implant tức thì

Implant tức thì là phương pháp nhổ răng và đặt trụ Implant trong cùng một lần điều trị, mang lại nhiều lợi ích:

  • Ngăn ngừa tiêu xương hàm
  • Bảo tồn cấu trúc giải phẫu xương & nướu.
  • Rút ngắn thời gian điều trị
  • Tiết kiệm chi phí phát sinh

Phương pháp này thường áp dụng cho:

  • Trường hợp mất răng cửa (Cần bảo tồn thẩm mỹ tối đa), răng cối hoặc tiền cối
  • Xương hàm có mật độ và chất lượng tốt

Những lưu ý giúp quá trình cấy ghép Implant nhanh và hiệu quả hơn

  • Lựa chọn trụ Implant chất lượng cao, có nguồn gốc rõ ràng.
  • Không để mất răng quá lâu, vì tiêu xương hàm và xô lệch răng sẽ khiến điều trị phức tạp hơn.
  • Chăm sóc răng miệng đúng hướng dẫn của bác sĩ để vết thương nhanh lành.
  • Thực hiện cấy ghép Implant tại nha khoa uy tín, có bác sĩ chuyên sâu, công nghệ hiện đại và quy trình vô trùng nghiêm ngặt.

Kết luận

Thời gian cấy ghép răng Implant phụ thuộc vào nhiều yếu tố khác nhau. Tuy nhiên, nếu được thăm khám kỹ lưỡng, lựa chọn phương pháp phù hợp và thực hiện tại nha khoa uy tín, quá trình trồng răng Implant sẽ diễn ra an toàn – nhanh chóng – hiệu quả lâu dài.

👉 Tại YEN Dental, khách hàng được:

  • Chẩn đoán chính xác bằng CT Cone Beam 3D
  • Lập phác đồ điều trị cá nhân hóa
  • Thực hiện bởi bác sĩ chuyên sâu Implant, giúp tối ưu thời gian và kết quả điều trị

 

Trồng răng Implant có đau không? Giải đáp từ bác sĩ chuyên khoa

Khi có ý định trồng răng Implant, “trồng răng Implant có đau không?” là nỗi băn khoăn chung của hầu hết khách hàng. Theo chia sẻ từ các bác sĩ chuyên khoa Implant, cảm giác đau trong quá trình cấy ghép là không có hoặc rất ít, thậm chí nhiều khách hàng nhận xét nhẹ hơn so với nhổ răng thông thường.

Điều này có được nhờ sự hỗ trợ của thuốc tê an toàn, công nghệ hiện đại và tay nghề bác sĩ chuyên sâu trong nha khoa ngày nay.

Vì sao trồng răng Implant hầu như không đau?

  1. Gây tê cục bộ an toàn

Trước khi tiến hành cấy ghép Implant, khách hàng sẽ được gây tê cục bộ tại vùng đặt trụ. Nhờ đó:

  • Hầu như không cảm nhận đau trong suốt quá trình thực hiện
  • Chỉ có cảm giác tê nhẹ hoặc rung nhẹ, hoàn toàn trong mức chịu đựng

👉 Thuốc tê được sử dụng đúng liều lượng, đảm bảo an toàn và không ảnh hưởng sức khỏe.

  1. Thiết bị và công nghệ hỗ trợ hiện đại

Việc ứng dụng công nghệ tiên tiến giúp quá trình trồng răng Implant diễn ra nhẹ nhàng, ít xâm lấn, bao gồm:

  • Chụp CT Cone Beam 3D
  • Phần mềm lập kế hoạch điều trị Implant
  • Hệ thống định vị cấy ghép bằng máng hướng dẫn

 

Nhờ các công nghệ này, bác sĩ xác định chính xác vị trí – hướng – độ sâu đặt trụ Implant, từ đó:

  • Giảm tổn thương mô
  • Hạn chế chảy máu
  • Giúp vết thương lành nhanh hơn
  1. Tay nghề và kinh nghiệm của bác sĩ

Bác sĩ được đào tạo chuyên sâu về Implant, giàu kinh nghiệm lâm sàng sẽ:

  • Thực hiện thao tác chính xác, dứt khoát
  • Hạn chế tối đa sang chấn mô
  • Giảm nguy cơ biến chứng trong và sau phẫu thuật

 

Đồng thời, bác sĩ có khả năng xử lý kịp thời các tình huống phát sinh, đảm bảo an toàn và thoải mái cho khách hàng trong suốt quá trình điều trị.

Sau khi trồng răng Implant có đau không?

Sau khi thuốc tê hết tác dụng, khách hàng có thể:

  • Cảm thấy đau nhẹ hoặc sưng nhẹ tại vùng cấy ghép
  • Tình trạng này thường kéo dài 2 – 3 ngày đầu và hoàn toàn trong ngưỡng chịu đựng của cơ thể

Bác sĩ sẽ kê đơn thuốc kháng sinh – giảm đau – kháng viêm phù hợp giúp khách hàng dễ chịu hơn.

Thông thường:

  • Sau 7 – 10 ngày, cảm giác đau giảm rõ rệt, vết thương gần như lành hẳn
  • Nếu sau thời gian này vẫn đau nhiều, sưng to hoặc không cải thiện, khách hàng cần quay lại nha khoa để kiểm tra, vì đây có thể là dấu hiệu lành thương chậm hoặc nhiễm trùng.

Cách giảm đau và giúp vết thương nhanh lành sau khi cấy ghép Implant

Sau khi trồng răng Implant, khách hàng nên lưu ý:

  • Chườm lạnh trong 24 – 48 giờ đầu để giảm sưng đau
  • Ăn thức ăn mềm, tránh nhai mạnh tại vùng cấy ghép trong 10 – 14 ngày
  • Vệ sinh răng miệng nhẹ nhàng, súc miệng theo hướng dẫn của bác sĩ
  • Tuân thủ đầy đủ đơn thuốc và lịch tái khám

👉 Việc chăm sóc đúng cách đóng vai trò quan trọng giúp giảm đau nhanh và tăng tỷ lệ thành công của Implant.

Kết luận

Trồng răng Implant không đau nhiều như lo ngại, đặc biệt khi được thực hiện tại nha khoa uy tín với:

  • Bác sĩ chuyên sâu Implant
  • Công nghệ hiện đại
  • Quy trình vô trùng nghiêm ngặt

Cảm giác đau – sưng nếu có chỉ ở mức nhẹ, tạm thời và hoàn toàn có thể kiểm soát.

Tại YEN Dental, khách hàng được:

  • Thăm khám và chẩn đoán chính xác bằng CT Cone Beam 3D
  • Lập phác đồ điều trị cá nhân hóa
  • Trực tiếp điều trị bởi bác sĩ giàu kinh nghiệm Implant, giúp quá trình cấy ghép nhẹ nhàng – an toàn – ít đau

 

Trồng răng Implant có nguy hiểm không? Giải đáp từ bác sĩ chuyên khoa

Cấy ghép Implant là một thủ thuật xâm lấn trong khoang miệng, vì vậy nhiều khách hàng lo lắng trồng răng Implant có nguy hiểm không.
Theo các bác sĩ chuyên khoa Implant, trồng răng Implant là phương pháp an toàn, tỷ lệ thành công cao nếu được thực hiện đúng kỹ thuật tại nha khoa uy tín và khách hàng tuân thủ đầy đủ hướng dẫn chăm sóc sau điều trị.

Ngược lại, nếu điều trị tại cơ sở kém chất lượng hoặc chăm sóc không đúng cách, nguy cơ biến chứng hoàn toàn có thể xảy ra.

Những biến chứng có thể gặp khi trồng răng Implant không đúng cách

  1. Đau nhức, sưng tấy kéo dài

Sau cấy ghép Implant, đau và sưng nhẹ trong vài ngày đầu là phản ứng bình thường của cơ thể. Tuy nhiên, nếu xuất hiện các dấu hiệu:

  • Đau nhiều, sưng kéo dài không giảm
  • Kèm theo sốt, mệt mỏi

👉 Đây có thể là dấu hiệu biến chứng sau cấy ghép, cần được bác sĩ kiểm tra sớm để tránh ảnh hưởng đến trụ Implant.

  1. Nhiễm trùng vùng cấy ghép

Nhiễm trùng là biến chứng nguy hiểm nếu không được phát hiện và xử lý kịp thời. Nguyên nhân thường do:

  • Vệ sinh răng miệng không đúng cách
  • Thức ăn đọng lại quanh trụ Implant
  • Quy trình vô trùng tại phòng khám không đảm bảo

Nếu để kéo dài, nhiễm trùng có thể cản trở quá trình tích hợp xương, dẫn đến nguy cơ đào thải trụ Implant.

  1. Chảy máu kéo dài

Thông thường, vùng cấy ghép chỉ chảy máu nhẹ trong 1 – 2 ngày đầu. Tuy nhiên, nếu:

  • Máu chảy liên tục
  • Không có dấu hiệu thuyên giảm

👉 Khách hàng cần liên hệ ngay với bác sĩ để được xử lý kịp thời, tránh ảnh hưởng sức khỏe.

Trồng răng Implant có nguy hiểm không? Làm sao để đảm bảo an toàn?

Thực tế, trồng răng Implant không nguy hiểm khi được thực hiện đúng quy trình y khoa. Để hạn chế tối đa biến chứng, khách hàng cần lựa chọn nha khoa uy tín và tuân thủ nghiêm ngặt hướng dẫn của bác sĩ trước – trong – sau điều trị.

Những lưu ý quan trọng khi trồng răng Implant

Trước khi trồng răng Implant

  • Chụp CT Cone Beam 3D để đánh giá chính xác mật độ và chất lượng xương hàm, từ đó xây dựng phác đồ điều trị phù hợp

  • Trao đổi đầy đủ với bác sĩ về tình trạng sức khỏe tổng quát, đặc biệt là các bệnh lý như:
    • Tim mạch
    • Huyết áp
    • Tiểu đường
  • Chuẩn bị tâm lý thoải mái, ổn định tinh thần để phối hợp tốt với bác sĩ trong suốt quá trình cấy ghép

Sau khi trồng răng Implant

  • Tuân thủ đúng đơn thuốc và hướng dẫn chăm sóc, không tự ý mua thuốc bên ngoài
  • Giữ vệ sinh răng miệng sạch sẽ, nhẹ nhàng tại vùng cấy ghép
  • Không hút thuốc lá, hạn chế rượu bia và các chất kích thích vì có thể làm chậm quá trình lành thương
  • Tái khám định kỳ để bác sĩ theo dõi quá trình tích hợp trụ Implant với xương hàm và phát hiện sớm các rủi ro nếu có

Kết luận

Trồng răng Implant không nguy hiểm khi được thực hiện đúng kỹ thuật tại nha khoa uy tín, với:

  • Bác sĩ chuyên sâu Implant
  • Công nghệ hiện đại
  • Quy trình vô trùng nghiêm ngặt

Việc tuân thủ hướng dẫn chăm sóc trước và sau điều trị đóng vai trò quan trọng giúp Implant tích hợp tốt – bền vững – an toàn lâu dài.

Tại YEN Dental, khách hàng được:

  • Thăm khám và chẩn đoán bằng CT Cone Beam 3D
  • Lập phác đồ điều trị cá nhân hóa
  • Trực tiếp điều trị bởi bác sĩ giàu kinh nghiệm Implant, giúp quá trình cấy ghép an toàn – nhẹ nhàng – hạn chế biến chứng

Vì sao cấy ghép Implant được ưa chuộng? Giải pháp phục hồi răng toàn diện hiện nay

Cấy ghép Implant ngày càng trở thành lựa chọn hàng đầu của khách hàng khi mất răng, dù chi phí cao hơn so với các phương pháp truyền thống như hàm giả tháo lắp hay cầu răng sứ.
Lý do là bởi Implant không chỉ phục hồi răng đã mất về mặt thẩm mỹ, mà còn đảm bảo chức năng ăn nhai, bảo tồn xương hàm và độ bền lâu dài.

 

Những ưu điểm nổi bật khiến Implant được ưa chuộng

1. Bảo tồn răng thật tối đa

Khác với cầu răng sứ phải mài răng kế cận, cấy ghép Implant:

  • Phục hồi răng đúng vị trí răng mất
  • Không xâm lấn răng thật xung quanh
  • Cảm giác ăn nhai gần như răng thật
  • Giữ nguyên cấu trúc răng miệng tự nhiên

👉 Đây là ưu điểm lớn giúp Implant được đánh giá là phương pháp bảo tồn răng thật tốt nhất hiện nay.

2. Ăn nhai tự nhiên, chắc khỏe như răng thật

Trụ Implant được cấy trực tiếp vào xương hàm, đóng vai trò như chân răng thật, giúp:

  • Răng Implant vững chắc, ổn định
  • Lực nhai đạt gần 100% so với răng tự nhiên
  • Ăn uống thoải mái, không lo lỏng lẻo hay rơi rớt

 

Khách hàng có thể ăn nhai gần như bình thường, kể cả các loại thức ăn dai, cứng.

3. Thẩm mỹ tự nhiên, khó phân biệt răng giả

Răng Implant là sự kết hợp hoàn chỉnh giữa trụ Implant – xương hàm – mô nướu – mão răng sứ:

  • Màu sắc, hình dáng, độ bóng tương tự răng thật
  • Phù hợp hài hòa với khuôn mặt và răng còn lại
  • Người đối diện khó nhận biết bạn đang sử dụng răng giả

 

Đặc biệt phù hợp cho các trường hợp mất răng vùng răng cửa, yêu cầu cao về thẩm mỹ.

4. Ngăn ngừa tiêu xương hàm – giữ gương mặt trẻ trung

Một trong những lý do quan trọng khiến cấy ghép Implant được ưa chuộng là khả năng:

  • Duy trì lực nhai lên xương hàm
  • Ngăn chặn tiêu xương ổ răng sau mất răng
  • Giữ cấu trúc môi, má, hạn chế hóp má và lão hóa gương mặt

👉 Implant không chỉ phục hồi răng mà còn bảo vệ khuôn mặt về lâu dài.

5. Tuổi thọ cao, sử dụng lâu dài

Nếu được:

  • Cấy ghép đúng kỹ thuật
  • Thực hiện bởi bác sĩ chuyên sâu Implant
  • Chăm sóc răng miệng đúng cách

👉 Răng Implant có thể sử dụng hàng chục năm, thậm chí gần như trọn đời, vượt trội so với các phương pháp phục hình khác.

Một số hạn chế cần cân nhắc khi trồng răng Implant

Bên cạnh nhiều ưu điểm, cấy ghép Implant cũng có những điểm cần lưu ý:

  • Yêu cầu trang thiết bị hiện đại, phòng phẫu thuật vô trùng
  • Bác sĩ thực hiện phải có chuyên môn cao và kinh nghiệm sâu về Implant
  • Chi phí ban đầu cao hơn so với hàm giả tháo lắp hoặc cầu răng sứ
  • Thời gian điều trị kéo dài vài tháng, phụ thuộc vào quá trình tích hợp giữa trụ Implant và xương hàm

Tuy nhiên, xét về giá trị sử dụng lâu dài, Implant được đánh giá là giải pháp kinh tế và bền vững.

So sánh các phương pháp phục hình răng phổ biến hiện nay

Kết luận

Trong các phương pháp phục hình răng hiện nay, cấy ghép Implant được ưa chuộng nhất nhờ khả năng:

  • Phục hồi răng mất toàn diện
  • Đảm bảo thẩm mỹ và chức năng ăn nhai
  • Ngăn ngừa tiêu xương và lão hóa gương mặt
  • Độ bền cao, sử dụng lâu dài

Implant chân bướm – Giải pháp tối ưu cho trường hợp tiêu xương hàm trên nghiêm trọng

Implant chân bướm (còn gọi là Implant xương bướm) là kỹ thuật cấy ghép Implant hiện đại, được chỉ định trong các trường hợp tiêu xương hàm trên nghiêm trọng – khi phương pháp Implant truyền thống không còn khả thi.
Giải pháp này giúp người mất răng phục hồi chức năng ăn nhai, thẩm mỹ và chất lượng cuộc sống một cách bền vững, an toàn.

 

  1. Cấy ghép Implant chân bướm là gì?

Cấy ghép Implant chân bướm là kỹ thuật đặt trụ Implant vào vùng xương chân bướm (thuộc xương bướm), nằm sâu phía sau hàm trên. Đây là vùng xương có mật độ cứng chắc, ít bị tiêu dù mất răng lâu năm.

Chỉ định trong các trường hợp:

  • Tiêu xương hàm trên nặng, đặc biệt vùng răng sau (răng số 5, 6, 7)
  • Không đủ chiều cao xương để cấy Implant truyền thống
  • Không thể hoặc không muốn nâng xoang – ghép xương
  • Mất răng lâu năm, hàm giả lỏng lẻo, ăn nhai kém

Đặc điểm kỹ thuật:

  • Chiều dài trụ Implant: 13 – 20mm, có thể lên đến 22mm
  • Góc đặt trụ: 45 – 55 độ
  • Trụ được neo trực tiếp vào xương chân bướm, giúp đạt độ ổn định cao ngay từ đầu

👉 So với hàm giả tháo lắp, Implant chân bướm vượt trội hơn hẳn về độ bền, khả năng ăn nhai và thẩm mỹ.

  1. Ưu điểm vượt trội của Implant chân bướm

Áp dụng cho những ca mất răng phức tạp

Implant chân bướm được xem là “giải pháp cứu cánh” cho các trường hợp:

  • Tiêu xương hàm trên nghiêm trọng
  • Mất răng lâu năm
  • Không răng bẩm sinh
  • Xoang hàm trên hạ thấp, sát xương ổ răng

👉 Giúp phục hồi răng mất, cải thiện thẩm mỹ khuôn mặt và nâng cao chất lượng cuộc sống.

Tỷ lệ thành công cao

Theo các chuyên gia Implant, tỷ lệ thành công của Implant chân bướm lên đến 98% nếu được thực hiện đúng kỹ thuật.

  • Không cần ghép xương, nâng xoang
  • Trụ Implant ổn định ngay từ đầu
  • Tích hợp xương tốt, hạn chế biến chứng

Không cần nâng xoang – ghép xương

So với Implant truyền thống, Implant chân bướm giúp:

  • Giảm xâm lấn phẫu thuật
  • Ít đau nhức, sưng nề
  • Rút ngắn thời gian điều trị và hồi phục
  • Phù hợp với bệnh nhân lớn tuổi hoặc ngại phẫu thuật phức tạp

Có thể kết hợp với các phương pháp Implant khác

Implant chân bướm có thể kết hợp linh hoạt với:

  • Implant truyền thống
  • Implant toàn hàm All-on-4, All-on-6
  • Implant xương gò má

👉 Giúp bác sĩ xây dựng phác đồ điều trị cá nhân hóa, tối ưu chi phí và hiệu quả lâu dài.

Dễ dàng chăm sóc và vệ sinh

Răng phục hình trên Implant chân bướm có hình dáng và chức năng tương tự răng thật:

  • Đánh răng đúng cách mỗi ngày
  • Dùng chỉ nha khoa hoặc tăm nước
  • Tái khám định kỳ theo hướng dẫn của bác sĩ
  1. Những câu hỏi thường gặp về Implant chân bướm

Implant chân bướm có an toàn không?

Implant chân bướm an toàn và hiệu quả nếu được thực hiện bởi bác sĩ Implant chuyên sâu, giàu kinh nghiệm và có hỗ trợ công nghệ chẩn đoán hiện đại (CT Cone Beam 3D).


Phương pháp này giúp giảm xâm lấn, hạn chế biến chứng và mang lại hiệu quả ăn nhai – thẩm mỹ cao.

Implant chân bướm giá bao nhiêu?

Chi phí Implant chân bướm phụ thuộc vào:

  • Mức độ tiêu xương và độ phức tạp của ca điều trị
  • Loại trụ Implant sử dụng
  • Tay nghề bác sĩ và nha khoa thực hiện

👉 Để biết chi phí chính xác, người bệnh cần thăm khám trực tiếp để được tư vấn cụ thể.

Nên chọn Implant chân bướm hay Implant xương gò má?

Cả hai đều dành cho trường hợp tiêu xương hàm trên nặng, bác sĩ sẽ khám -lên kế hoạch tối ưu cho từng trường hợp, có thể sử dụng riêng hoặc kết hợp các loại implant với nhau.

Tiêu chí

Implant chân bướm

Implant xương gò má

Chiều dài trụ

13 – 22mm

30 – 55mm

Vị trí cấy

Xương chân bướm

Xương gò má

Mức độ xâm lấn

Ít hơn

Phức tạp hơn

Chỉ định

Tiêu xương nặng

Tiêu xương cực kỳ nghiêm trọng

 

Thời gian hồi phục sau cấy Implant chân bướm bao lâu?

Do không nâng xoang, ghép xương:

  • Thời gian hồi phục nhanh hơn Implant truyền thống
  • Nhiều trường hợp có thể ăn nhai với răng tạm ngay trong ngày

Kết luận

Implant chân bướm là giải pháp phục hình răng hiện đại – an toàn – hiệu quả cho những trường hợp tiêu xương hàm trên nghiêm trọng.
Để đảm bảo kết quả lâu dài, người bệnh nên lựa chọn nha khoa uy tínbác sĩ chuyên sâu

Zygoma Implant – Giải Pháp Cấy Ghép Răng Cho Bệnh Nhân Tiêu Xương Hàm Nặng Tại YEN DENTAL

Giới thiệu

Cấy ghép Implant đã trở thành tiêu chuẩn vàng trong phục hình răng mất. Tuy nhiên, đối với những bệnh nhân tiêu xương hàm nghiêm trọng, đặc biệt là tiêu xương hàm trên sau thời gian dài mất răng, implant truyền thống thường không còn đủ điều kiện thực hiện nếu không ghép xương phức tạp.

Zygoma Implant – kỹ thuật cấy ghép implant vào xương gò má (zygomatic bone), được phát triển bởi Giáo sư – Tiến sĩ Per-Ingvar Brånemark, chính là giải pháp đột phá cho những trường hợp này.

Tại YEN DENTAL, Zygoma Implant được chỉ định như một giải pháp thay thế an toàn – hiệu quả – bền vững, giúp bệnh nhân phục hồi răng cố định toàn hàmkhông cần ghép xương phức tạp, rút ngắn thời gian điều trị và giảm sang chấn.

 

Chỉ định lâm sàng của Zygoma Implant

Zygoma Implant thường được chỉ định trong các trường hợp:

  • Tiêu xương hàm trên nặng, đặc biệt vùng tiền đình và xoang hàm, không đủ xương để đặt implant truyền thống

  • Bệnh nhân không thể hoặc không muốn ghép xương do:
    • Yếu tố sức khỏe toàn thân
    • Thời gian điều trị kéo dài
    • Chi phí ghép xương cao
  • Trường hợp phục hình toàn hàm cố định yêu cầu:
    • Độ ổn định cao
    • Khả năng ăn nhai tốt
    • Thẩm mỹ lâu dài

👉 Tại YEN DENTAL, chỉ định Zygoma Implant luôn được cân nhắc kỹ lưỡng dựa trên CT Cone Beam 3D, tiền sử bệnh lý và nhu cầu thực tế của từng khách hàng.

Cơ chế hoạt động & ưu điểm vượt trội của Zygoma Implant

Zygoma Implant là loại implant dài hơn implant thông thường (30 – 55 mm), được đặt vào vùng thân xương gò má – vùng xương cứng, dày và ít tiêu theo thời gian.

 

Ưu điểm nổi bật

1. Độ ổn định tức thì cao

  • Xương gò má có mật độ xương tốt, chịu lực nhai mạnh
  • Tăng độ ổn định ban đầu, giảm nguy cơ đào thải implant

2. Không cần ghép xương phức tạp

  • Tránh các phẫu thuật nâng xoang, ghép xương khối phức tạp
  • Giảm sang chấn, giảm nguy cơ viêm nhiễm và biến chứng

3. Rút ngắn thời gian điều trị

  • Trong nhiều trường hợp, có thể phục hình tạm sớm hoặc phục hình tức thì
  • Khách hàng nhanh chóng ăn nhai và sinh hoạt bình thường

4. Phục hồi thẩm mỹ & chức năng tối ưu

  • Phục hình cố định toàn hàm
  • Cải thiện phát âm, ăn nhai và thẩm mỹ khuôn mặt
  • Hạn chế hóp má, chảy xệ do tiêu xương hàm

👉 Đây là lý do Zygoma Implant được xem là giải pháp “cứu cánh” cho bệnh nhân tiêu xương hàm nặng tại các trung tâm Implant chuyên sâu như YEN DENTAL.

Quy trình cấy ghép Zygoma Implant tại YEN DENTAL

Quy trình điều trị được thực hiện theo tiêu chuẩn quốc tế, đảm bảo an toàn và độ chính xác cao:

1. Khám lâm sàng & chẩn đoán hình ảnh

  • Chụp CT Cone Beam 3D

 

  • Đánh giá:
    • Mức độ tiêu xương hàm
    • Mật độ xương gò má
    • Mối liên quan xoang – hốc mũi – thần kinh

2. Lập kế hoạch phẫu thuật kỹ thuật số

  • Xác định:
    • Vị trí đặt implant
    • Hướng và chiều dài implant
  • Tối ưu phân bố lực nhai, giảm áp lực lên mô mềm

3. Phẫu thuật cấy ghép

  • Thực hiện bởi bác sĩ Implant chuyên sâu
  • Gây tê tại chỗ hoặc gây mê/tiền mê (tùy trường hợp)
  • Implant được đặt chính xác theo kế hoạch kỹ thuật số

4. Phục hình tạm & phục hình cố định

  • Đa số trường hợp có thể gắn phục hình tạm sớm
  • Phục hình cố định sau cùng hoàn thiện khi implant tích hợp ổn định

5. Theo dõi & bảo dưỡng định kỳ

  • Tái khám kiểm tra:
    • Mức độ tích hợp implant
    • Tình trạng mô mềm quanh implant
  • Hướng dẫn chăm sóc và vệ sinh lâu dài

Kết luận

Zygoma Implant đại diện cho bước tiến vượt bậc trong lĩnh vực cấy ghép Implant, đặc biệt dành cho bệnh nhân tiêu xương hàm nặng – từng được xem là “không thể trồng răng”.

 

Với các ưu điểm:

  • Độ ổn định cao
  • Không cần ghép xương phức tạp
  • Rút ngắn thời gian điều trị
  • Phục hồi ăn nhai & thẩm mỹ toàn diện

Zygoma Implant không chỉ giúp khôi phục chức năng răng, mà còn nâng cao chất lượng cuộc sống và sự tự tin lâu dài.

👉 Tại YEN DENTAL, Zygoma Implant được thực hiện bởi đội ngũ bác sĩ Implant chuyên sâu, kết hợp công nghệ chẩn đoán – lập kế hoạch hiện đại, nhằm mang đến giải pháp an toàn, chính xác và bền vững nhất cho từng khách hàng.

 


No block ID is set