Cạo vôi răng – Bước chăm sóc nha khoa đỉnh cao tại YEN DENTAL
Trong hành trình chăm sóc sức khỏe răng miệng, cạo vôi răng không chỉ là một thủ thuật đơn thuần, mà còn là bước nền tảng, quyết định cho sự khỏe mạnh và thẩm mỹ của nụ cười. Tại YEN DENTAL, dịch vụ cạo vôi răng được triển khai bằng công nghệ siêu âm hiện đại, kết hợp với kỹ thuật chuyên môn tinh tế của đội ngũ bác sĩ, mang lại trải nghiệm an toàn, hiệu quả và vô cùng dễ chịu cho khách hàng.

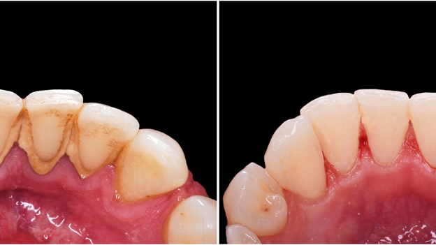
Cạo vôi răng là gì?
Cạo vôi răng (hay còn gọi là lấy cao răng) là quá trình loại bỏ các mảng bám cứng đầu và cao răng bám lâu ngày trên bề mặt răng và nướu. Nếu chỉ đánh răng thông thường, những mảng bám này sẽ tích tụ ngày càng nhiều, trở thành môi trường lý tưởng cho vi khuẩn phát triển, từ đó gây ra viêm nướu, nha chu và các vấn đề răng miệng nghiêm trọng.
Quy trình cạo vôi răng tại YEN DENTAL sử dụng đầu máy siêu âm hiện đại, rung động nhẹ nhàng để loại bỏ vôi răng mà không gây đau, không tổn thương men răng hay nướu, đồng thời giúp ngăn ngừa viêm nhiễm hiệu quả.

Tại sao cần cạo vôi răng định kỳ?
- Ngăn ngừa bệnh lý nha chu
- Mảng bám và cao răng là nguyên nhân chính gây ra viêm nướu, giai đoạn đầu của bệnh nha chu.
- Nếu viêm nướu không được xử lý kịp thời, nướu sẽ sưng đỏ, chảy mủ, gây lung lay răng, hôi miệng và mất răng.
- Duy trì sức khỏe răng miệng toàn diện
- Loại bỏ vôi răng giúp bảo vệ nướu, men răng và cấu trúc răng khỏi sự tấn công của vi khuẩn.
- Hạn chế tình trạng tăng cao răng, mảng bám, vôi răng cứng đầu, giảm nguy cơ sâu răng và viêm nha chu tiến triển.
- Nâng cao thẩm mỹ và tự tin
- Răng sáng, sạch mảng bám, hơi thở thơm tho sẽ giúp nụ cười rạng rỡ, cuốn hút.
- Hình thành thói quen chăm sóc răng miệng đúng cách, bảo vệ nụ cười dài lâu.

Trải nghiệm chu đáo tại YEN DENTAL
- Công nghệ siêu âm tiên tiến: Loại bỏ vôi răng nhanh chóng, an toàn, giảm ê buốt tối đa.
- Bác sĩ chuyên môn cao: Thực hiện từng bước nhẹ nhàng, chính xác, đảm bảo không gây tổn thương răng và nướu.
- Môi trường chăm sóc sang trọng: Phòng nha khoa hiện đại, không gian thoáng đãng, tiện nghi, mang lại cảm giác thư giãn và thoải mái tuyệt đối.
- Chăm sóc hậu dịch vụ chu đáo: Hướng dẫn vệ sinh răng miệng, chế độ dinh dưỡng và lịch cạo vôi định kỳ, duy trì nụ cười khỏe đẹp lâu dài.
Kết luận
Cạo vôi răng tại YEN DENTAL không chỉ là thủ thuật nha khoa, mà là nghệ thuật chăm sóc nụ cười, giúp khách hàng:
- Phòng ngừa viêm nướu, nha chu.
- Duy trì răng khỏe, nướu chắc, hơi thở thơm mát.
- Tái sinh vẻ đẹp tự nhiên và sự tự tin trong giao tiếp.
Với công nghệ hiện đại, đội ngũ bác sĩ giàu kinh nghiệm và quy trình điều trị theo chuẩn quốc tế, YEN DENTAL cam kết mang đến cho mỗi khách hàng trải nghiệm chăm sóc răng miệng đẳng cấp, tinh tế và hiệu quả vượt trội.
Cạo Vôi Răng Có Đau Không?
Cạo vôi răng là phương pháp tối ưu để loại bỏ các mảng bám cứng chắc bám trên bề mặt răng và nướu, giúp răng sạch sẽ, hơi thở thơm tho và giảm nguy cơ viêm nướu, viêm nha chu. Tuy nhiên, việc cạo vôi răng quá thường xuyên hoặc không đúng kỹ thuật có thể gây ảnh hưởng đến men răng và nướu. Do đó, tần suất cạo vôi răng cần được điều chỉnh phù hợp với từng cá nhân, dựa trên tình trạng răng miệng và mức độ hình thành cao răng.

Tần suất cạo vôi răng tiêu chuẩn
- Khách hàng có răng khỏe, men răng sáng bóng, ít mảng bám: Cạo vôi răng 6 tháng/lần là lý tưởng, vừa đảm bảo vệ sinh vừa hạn chế tác động lên men răng.
- Khách hàng có men răng thô ráp, dễ bám mảng, thường uống trà, cà phê hoặc hút thuốc lá: Nên cạo vôi răng 3 tháng/lần để loại bỏ mảng bám tích tụ nhanh chóng và ngăn ngừa viêm nướu.

Bác sĩ tại YEN DENTAL sẽ thăm khám và xác định tần suất phù hợp cho từng khách hàng, đảm bảo hiệu quả tối ưu nhưng vẫn bảo vệ men răng và nướu.
Một trong những thắc mắc phổ biến của khách hàng là liệu cạo vôi răng có gây đau hoặc ê buốt hay không. Thực tế, cạo vôi răng hoàn toàn không gây đau nhức, chỉ có thể xuất hiện cảm giác ê nhẹ trong quá trình thực hiện hoặc vài giờ sau khi kết thúc. Cảm giác này thường biến mất nhanh chóng và không gây ảnh hưởng lâu dài.
Tuy nhiên, mức độ ê buốt có thể khác nhau, phụ thuộc vào các yếu tố sau:
- Sức khỏe răng miệng
- Nếu khách hàng đang bị viêm nướu, viêm nha chu hoặc men răng nhạy cảm, quá trình cạo vôi có thể khiến răng ê nhẹ và nướu chảy máu.
- Khi răng và nướu khỏe mạnh, cảm giác ê buốt gần như không xuất hiện.
- Kỹ thuật cạo vôi răng
- YEN DENTAL áp dụng công nghệ sóng siêu âm hiện đại, giúp loại bỏ vôi răng nhanh chóng mà không làm tổn thương men răng hay nướu.
- So với phương pháp thủ công truyền thống, kỹ thuật sóng siêu âm giảm ê buốt, an toàn và nhẹ nhàng hơn rất nhiều.

3. Trình độ bác sĩ thực hiện
-
- Tay nghề và kinh nghiệm của bác sĩ đóng vai trò then chốt.
- Đội ngũ bác sĩ tại YEN DENTAL với chuyên môn cao, thao tác chính xác, đảm bảo quy trình cạo vôi răng diễn ra nhanh chóng, hiệu quả và không gây khó chịu cho khách hàng.
Kết luận:
Cạo vôi răng đúng kỹ thuật, đúng tần suất vừa bảo vệ men răng, vừa loại bỏ mảng bám, duy trì sức khỏe răng miệng tối ưu. Tại YEN DENTAL, chúng tôi đảm bảo mỗi khách hàng trải nghiệm dịch vụ cạo vôi răng an toàn, nhẹ nhàng và hiệu quả, mang lại nụ cười sáng bóng tự nhiên.
Khi Nào Nên Cạo Vôi Răng? – Chuẩn Chăm Sóc Nụ Cười Khỏe Đẹp Tại YEN DENTAL
Cạo vôi răng là bước chăm sóc nha khoa quan trọng giúp loại bỏ mảng bám cứng đầu – nguyên nhân hàng đầu gây viêm nướu, viêm nha chu và hôi miệng. Tuy nhiên, việc cạo vôi đúng thời điểm – đúng chỉ định mới mang lại hiệu quả tối ưu và bảo vệ men răng lâu dài.
Tại YEN DENTAL, mỗi khách hàng đều được bác sĩ thăm khám kỹ lưỡng để xác định thời điểm cạo vôi phù hợp nhất, đảm bảo an toàn và trải nghiệm nhẹ nhàng.

🔹 1. Cạo vôi răng định kỳ – Tiêu chuẩn vàng cho răng khỏe
👤 Đối tượng phù hợp
• Người có lượng vôi răng ít
• Không mắc viêm nướu hay nha chu
📅 Tần suất khuyến nghị
• 6 tháng/lần
✨ Lợi ích
• Răng sạch khỏe, hơi thở thơm mát
• Ngăn ngừa mảng bám tái phát
• Bảo vệ men răng và nướu hiệu quả
🔹 2. Cạo vôi răng tăng cường – Dành cho người có nguy cơ cao
⚠ Đối tượng cần lưu ý
• Người thường xuyên uống trà, cà phê
• Hút thuốc lá
• Răng dễ bám mảng bám, vôi răng tích tụ nhanh
- Người có bệnh lý nha chu
📅 Tần suất phù hợp
• 3 – 4 tháng/lần
💎 Hiệu quả mang lại
• Hạn chế viêm nướu, sâu răng
• Giữ răng sáng sạch lâu hơn
• Bảo vệ sức khỏe răng miệng toàn diện
🔹 3. Lưu ý đặc biệt cho trẻ em & người nhạy cảm
👶 Trẻ em dưới 10 tuổi
• Cần thăm khám kỹ
• Cạo vôi nhẹ nhàng bằng công nghệ phù hợp
🚫 Không nên cạo vôi răng khi
• Trẻ dưới 6 tuổi
• Răng đang sâu nặng, viêm cấp tính
🌿 Kết luận
Cạo vôi răng đúng thời điểm không chỉ giúp:
✔ Duy trì nụ cười rạng rỡ, tự tin
✔ Ngăn ngừa bệnh lý răng miệng nguy hiểm
✔ Bảo vệ men răng và mô nướu bền vững

Tại YEN DENTAL, quy trình cạo vôi răng được thực hiện bởi đội ngũ bác sĩ chuyên môn cao, kết hợp công nghệ siêu âm hiện đại, đảm bảo an toàn – nhẹ nhàng – hiệu quả tối ưu, mang đến trải nghiệm chăm sóc răng miệng đẳng cấp cho mọi khách hàng.

